03-3585-0081
WEB予約
無料メール相談
公式LINE
ホーム
治療メニュー
症例紹介
当院のご紹介
院長・スタッフ紹介
設備紹介
診療時間・アクセス
Menu
診療時間・アクセス
公式LINE
電話する
お問い合わせ
歯科治療例
医院案内
コンセプト・理念
ビジネスマンや経営者の方へ
モデル・芸能関係の方へ
アスリートの方へ
患者様へのおもてなし
院長・スタッフ紹介
院内紹介
設備紹介
院内技工
治療メニュー
インプラント
審美メニュー
-審美(エステティック)
-オールセラミック
-ホワイトニング
矯正歯科メニュー
-矯正歯科
-小児矯正
-成人矯正(ワイヤー矯正)
-マウスピース型矯正
-部分矯正
歯周病
オーダーメイド歯科
噛み合わせ
ボトックス
予防治療メニュー
-予防治療
-歯科ドック
-歯石取り・クリーニング
痛みの少ないレーザー
虫歯
口腔外科
小児歯科
料金表メニュー
費用・料金表
詰め物・被せ物
矯正歯科
インプラント
ホワイトニング
治療例
治療例一覧
インプラント
矯正歯科
審美歯科
採用情報
Recruit
症例集
Case
院内ブログ
Blog
サイトマップ
院内ブログ
Blog
ホーム
>
院内ブログ
院内ブログ
カテゴリ|全て
ブログTOPへ戻る
インプラント|歯科治療例
歯科衛生士の業務
お知らせ
歯科治療例
今週のお花
矯正歯科|歯科治療例
審美治療|歯科治療例
感染予防対策【コロナ等】
設備・機材
院内新聞
活動報告
メディア出演・掲載
コンシェルジュ日誌
歯科技工士の業務
2022.05.02
審美治療|歯科治療例
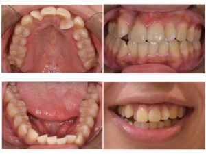
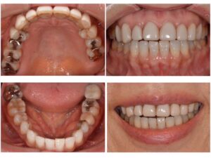
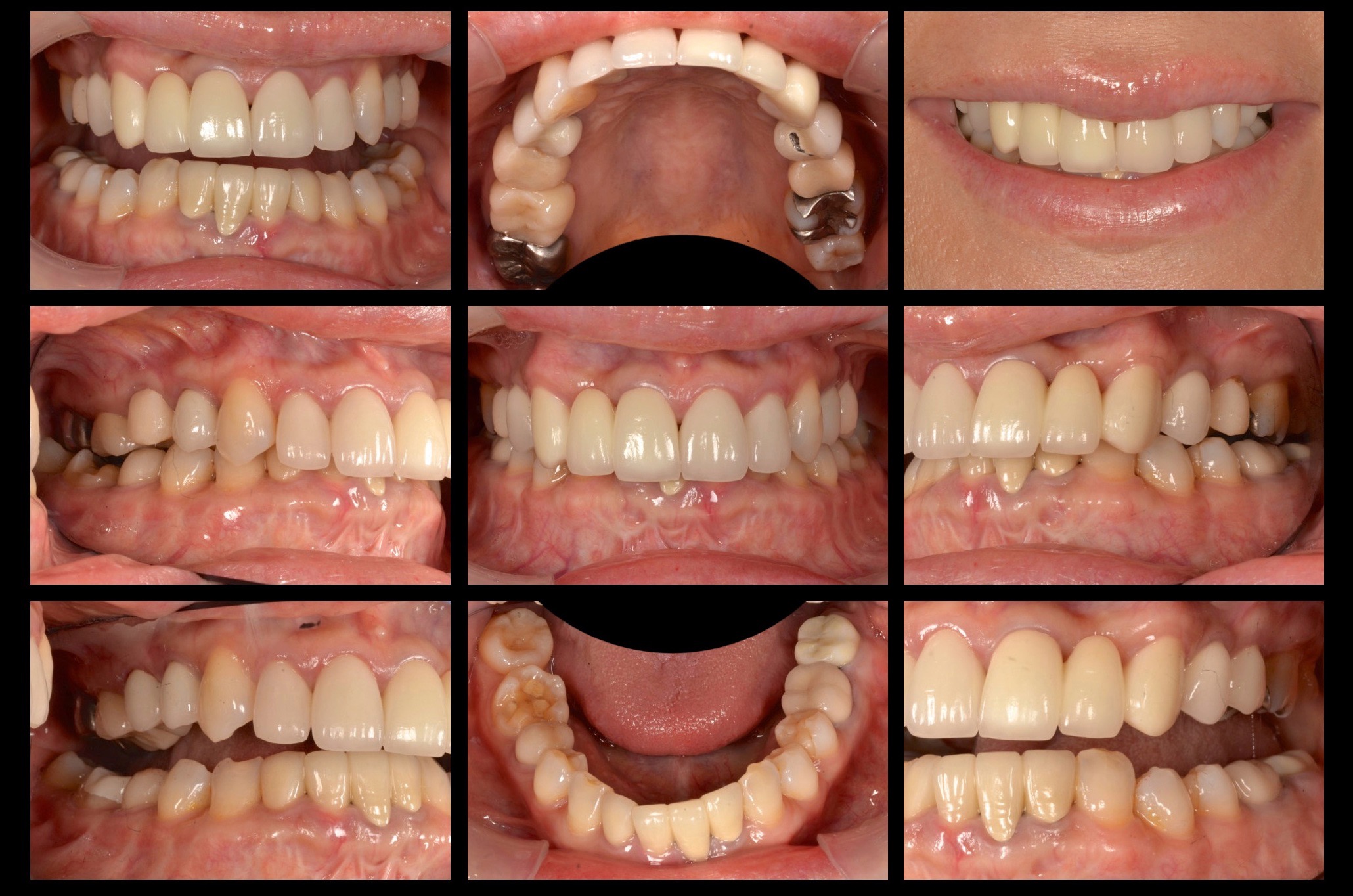
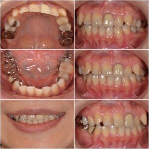
大きく変えた歯科治療。【かみ合わせ・セラミック治療例】50代女性 s621.2015122
術前・主訴 顎が痛い。詰め物が取れた。 他院で治した前歯が長い気がする。 診断の結果 顎の痛みや詰め物が外れたのは、歯列の歪みや噛み合わせの深さが原因と思われます。 また、前歯の長さは女性の平均値10.2mmのところ、11.0mm以上ありま…
続きを読む
2026.02.06
お知らせ
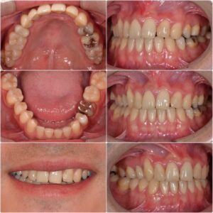
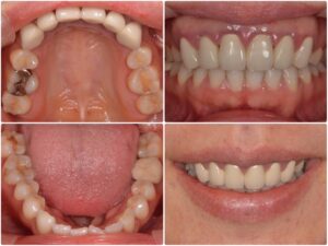
前歯部の歯並びが気になる 60代女性 2026.2.6
主訴・術前 前歯部の歯並びが気になる 術後の患者様の感想 マウスピース矯正やセラミック矯正を行って自分の納得のいく歯並びになることができたので良かったです。 マウスピースに関しては、続けられるか不安でしたが続けることができ、…
続きを読む
2026.02.05
お知らせ
バレンタイン 虫歯リスク 2026.02.05
【モデルに人気のセラミック治療】 皆様、こんにちは。 コンシェルジュの早川です。 2月といえばバレンタインですね🤎❤️ バレンタインの時期はチョコレートや糖分を含む食品の摂取が増えるため、虫歯リスクが一時的に高まりやすい時期といえます。 ◯…
続きを読む
2026.02.04
お知らせ
TOP › コラム 芸能人のような歯列矯正はどこで受ける? 目立たない・早い・美しい矯正を叶える歯科医院の選び方 執筆者情報:岩城 賢珠 最終更新日:2026年2月4日 Contents 芸能人が重視する歯列矯正の3つの条件 ① 気づかれに…
続きを読む
2026.01.29
お知らせ
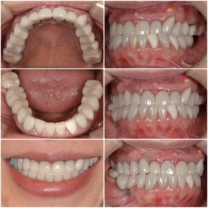
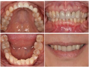
歯並びを綺麗にしたい 20代男性 2026.1.29
主訴・術前 歯並びを綺麗にしたい 術後の患者様の感想 短期間で綺麗になってとても嬉しかったです。 一つ一つ丁寧に診てくださり、自分の希望に沿って的確なアドバイスをして下さったので、とても安心出来ました。 理想の歯並びにな…
続きを読む
2026.01.29
お知らせ
噛み合わせが悪いと起こる不調 2026.01.29
【富裕層に人気のセラミック治療】 皆様、こんにちは。 コンシェルジュの早川です。 本日は、 噛み合わせが悪いと起こる不調についてです🦷⚡️ 噛み合わせが悪いと聞くと、噛みにくい・歯がすり減るといったお口の中の問題を思い浮かべる方が多いと思い…
続きを読む
1 / 165
1
2
3
4
5
...
10
20
30
...
次へ
»