虫歯 Caries

お口の中に普段と違う違和感や痛みを感じておられても、治療がこわくてなかなか受診できないという方も多いのではないでしょうか? 当院では、全ての患者様に安心して治療を受けていただけるよう「痛みに配慮した治療」を目指して様々な取り組みを行っております。 また、院内技工士と連携をとることで、天然歯に近い詰め物・被せ物をご提供できることにも自信を持っております。

当院の虫歯治療の特徴

  • 痛みに配慮した治療

    患者様に痛みを感じさせない麻酔や、レーザーを使用した虫歯治療など、様々な取り組みで「痛みに配慮した治療」を実現できるよう努めております。

    痛みに配慮した治療
    痛みの少ないレーザー治療
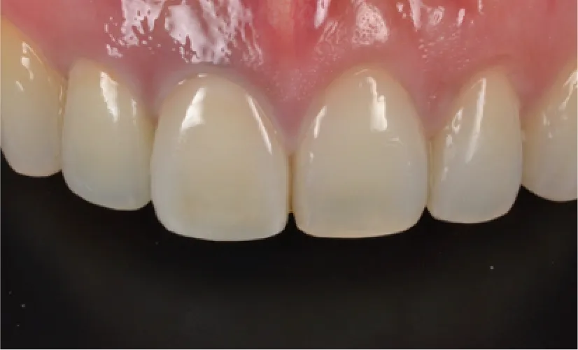
  • 天然歯のような仕上がり

    歯に優しく、天然歯に一番近いオールセラミックを使用して、審美的にも機能的にも治療を行っております。

    天然歯のような仕上がり
    オールセラミック

    当院はメタルフリーを心がけています

    • 金属がお口の中にあると
      起こり得ること
    • 当院はメタルフリーを心がけています
      銀歯に使用されている金属は、歯や接着剤よりも硬いため、銀歯の下の接着剤が壊れやすく、そのすき間から細菌が入って虫歯が再発する可能性が高くなります。 また、金属はお口の中で帯電し、熱や酸などの色々な刺激によって少しずつ溶けてしまうため、金属で修復した歯には様々な問題が生じます。
    • 全身への影響
    • ・飲料水や食品の重金属汚染には敏感ですが、お口の中の金属には意外に『無頓着』です。

      ・お口の中の金属は、腐食しイオン化して溶け出し、周囲のタンパクと結合し抗原性(アレルギー性)を持つようになります。 それらが体内に取り込まれ、金属アレルギーを誘発します。

      ・歯科金属アレルギーは、原因究明に至るまでの期間が長いのが特徴です。 また、50歳以上の女性に限定すると口腔内に発症する割合は急激に増加します。
    • 金属アレルギーとは?
    • 日本の保険制度の下で使用される、歯科金属の多くはイオン化して溶け出しやすく、唾液、口腔細菌、血液などのタンパク質と結合して抗原性(アレルギー性)を持つようになります。 溶け出した金属が免疫系を刺激してアレルゲンとなり、局所や全身に、発赤、腫脹、湿疹などを生じる疾患が金属アレルギーです。 症状のみでは原因の特定が難しい疾患だがある程度が歯科用金属によるものと言われています。
    • 金属アレルギーが起こる原因
    • お口の中の金属は帯電しやすく、イオン化傾向の違う異種金属が存在するとガルバニ電流と呼ばれる微弱電流を生じて脳活動を混乱させたり、頭痛や関節痛を憎悪させます。 お口の中の金属によるアレルギーの危険性はピアスやネックレスによる感作によって発症しやすくなりますが、発症しない場合でも長い期間にわたる金属の体内蓄積によって身体的リスクが増大します。 重度の歯周病や口内炎などでお口の中の炎症状態が慢性的に続いているような環境などでは金属がイオン化しやすいという報告もあります。
  • 5年保証

    治療後も快適にお過ごしいただけるよう、虫歯治療において保険外診療を行った場合、5年間の保証制度を設けております。

    5年保証
  • オーダーメイドの治療

    長期にわたる虫歯治療や通院が難しいという方には、患者様のご要望に合わせたご予約や治療プランをご提案しております。

    オーダーメイドの治療
    オーダーメイドコース
  • 静脈内鎮静法にも対応

    どうしても治療の痛みがこわいという方には、静脈内鎮静法(半分眠ったような状態で施術を行う)を行うことが可能です。

    静脈内鎮静法にも対応
    静脈内鎮静法

痛みに対する4つの配慮

当院では、「痛みに配慮した治療」をご提供するため、以下の内容に配慮した麻酔を行っております。

  • 1麻酔前の表面麻酔

    歯茎に表面麻酔を塗ることで、針が刺さった時の痛みを軽減しています。

    麻酔前の表面麻酔
  • 2極細の針を使用

    麻酔で使用する針は、極細の針を使用しております。

    極細の針を使用
  • 3麻酔液の温度管理

    注入した際の刺激を軽減するために、麻酔液を体温と同じ温度にしております。

  • 4麻酔液の注入スピード

    麻酔液を丁寧にゆっくり注入することで、違和感と痛みを抑えております。

虫歯の進行段階

  • C0

    「初期虫歯」と呼ばれる状態で、歯に穴があく手前の段階です。多くの場合、定期的なメンテナンスやフッ素塗布などの予防処置を徹底して行います。

    C0
  • C1

    歯のエナメル質(表面の部分)に虫歯ができている状態です。虫歯になっている部分だけを削り、詰め物をして処置を行います。

    C1
  • C2

    虫歯が象牙質まで進行した虫歯で、冷たいものがしみるなどの自覚症状が出てきます。虫歯の範囲が大きい場合には、被せ物で補うことになります。

    C2
  • C3

    神経(歯髄)まで虫歯が進行した状態で、激しい痛みを伴います。神経を取り除いたあと、歯の根の治療を行い、被せ物をして治療します。

    C3
  • C4

    虫歯が歯の根まで進行し、ほとんどの部分がなくなってしまった状態です。歯を残すことが難しい場合、抜歯して入れ歯かブリッジ、インプラントで治療を行います。

    C4

二度と虫歯をつくらないために

虫歯治療を行った多くの患者様は、「二度と虫歯治療をしたくない」と思われることでしょう。 二度と治療を繰り返さないために、当院では定期的なメンテナンスやそれぞれの患者様に合わせた予防プランをご提案いたします。 また、予防プランは虫歯リスク検査の結果に基づいて、お口の中の状態をしっかりと把握した上でご提案しております。

当院の予防治療