03-3585-0081
WEB予約
無料メール相談
公式LINE
ホーム
治療メニュー
症例紹介
当院のご紹介
院長・スタッフ紹介
設備紹介
診療時間・アクセス
Menu
診療時間・アクセス
公式LINE
電話する
お問い合わせ
歯科治療例
医院案内
コンセプト・理念
ビジネスマンや経営者の方へ
モデル・芸能関係の方へ
アスリートの方へ
患者様へのおもてなし
院長・スタッフ紹介
院内紹介
設備紹介
院内技工
治療メニュー
インプラント
審美メニュー
-審美(エステティック)
-オールセラミック
-ヴィーナスベニア
-ホワイトニング
矯正歯科メニュー
-矯正歯科
-小児矯正
-成人矯正(ワイヤー矯正)
-マウスピース型矯正
-部分矯正
歯周病
オーダーメイド歯科
噛み合わせ
ボトックス
予防治療メニュー
-予防治療
-歯科ドック
-歯石取り・クリーニング
痛みの少ないレーザー
虫歯
口腔外科
小児歯科
料金表メニュー
費用・料金表
詰め物・被せ物
矯正歯科
インプラント
ホワイトニング
治療例
治療例一覧
インプラント
矯正歯科
審美歯科
採用情報
Recruit
症例集
Case
院内ブログ
Blog
サイトマップ
歯科技工士の業務
Category
ホーム
>
歯科技工士の業務
カテゴリ|全て
ブログTOPへ戻る
インプラント|歯科治療例
歯科衛生士の業務
お知らせ
歯科治療例
今週のお花
矯正歯科|歯科治療例
審美治療|歯科治療例
感染予防対策【コロナ等】
設備・機材
院内新聞
活動報告
メディア出演・掲載
コンシェルジュ日誌
歯科技工士の業務
2021.08.02
歯科技工士の業務
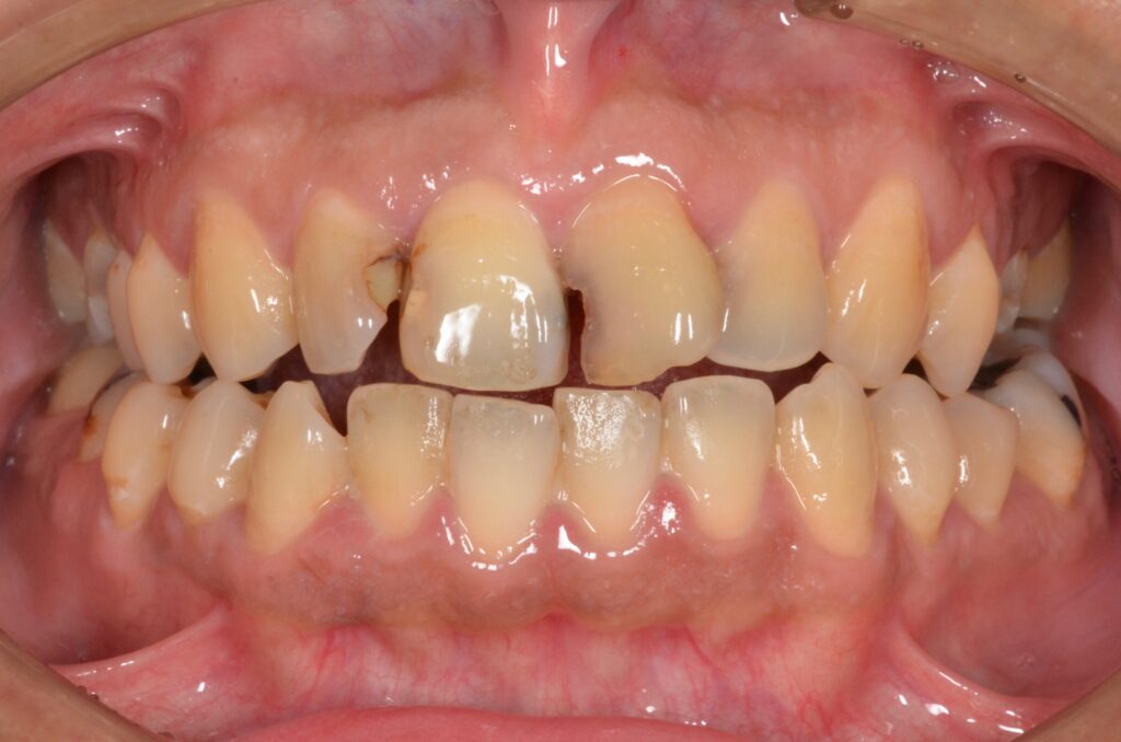
仮歯をその日のうちに 20210802
前歯の仮歯がキレイに入りました! 赤坂ヴィーナスデンタルクリニック院内技工士の井上です。 本日は虫歯が気になる前歯を 仮歯に置き換える処置を行いました。 あらかじめ患者様に合った仮歯を用意しておりましたので 理想に近い長さと幅で仕上げること…
続きを読む
2021.06.14
歯科技工士の業務
【歯科技工士のいる歯科医院】
当院では詰め物や被せ物を製作する技師“歯科技工士”が常駐しています。通常多くの歯科医院は技工物を「外注」するため、作製自体に時間を要します。自院に歯科技工士が常駐していることで下記のようなメリットがあげられます。 院内に技工士がいるメリット…
続きを読む
2021.05.31
歯科技工士の業務
歯科矯正後のシュミレーション
赤坂ヴィーナスデンタルクリニック井上でございます。 最近、矯正治療ご希望の患者様に多くお越し頂いております! 特にご紹介の方が多いのは大変嬉しく思っております。 歯科技工士の私もセラミック製作とともに 矯正診断模型に追われております。 矯正…
続きを読む
2021.01.25
歯科技工士の業務
インプラントのデジタルデザイン2021125
お口の中がPC上に 赤坂ヴィーナスデンタルクリニック歯科技工士の井上でございます。 当院では歯科医師がインプラントを埋入したのち 上部構造(インプラント上の歯)の製作も 当院で院内技工士の私が責任をもってお作りしています。 型取りをした後、…
続きを読む
2 / 2
前へ
1
2