FULL MOUTH
人生を変える
全顎治療
Transforming Your Life Through Complete Dental Care

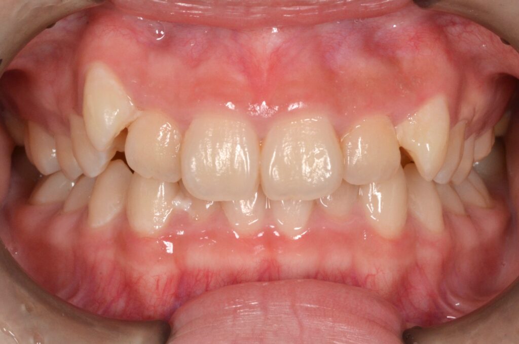
「全顎治療」とは、お口全体を総合的に診断し、見た目も噛み合わせも機能も、すべてを根本から改善する治療です。一部だけを直すのではなく、お口全体をトータルでデザインすることで、本当の意味での健康と美しさを実現します。

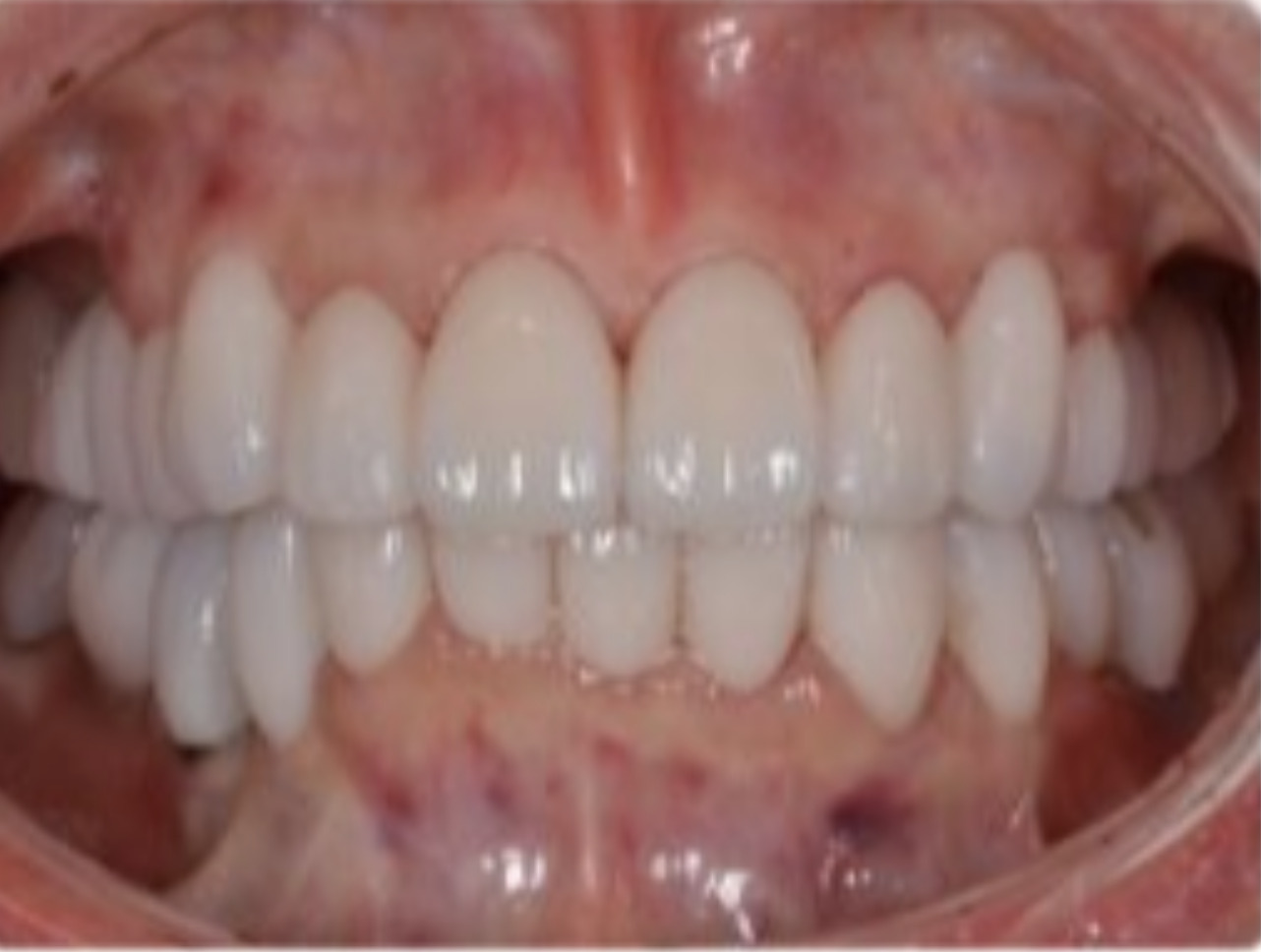
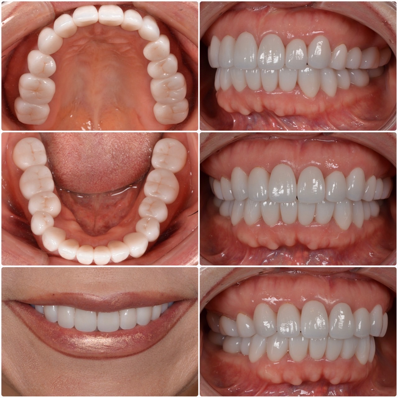
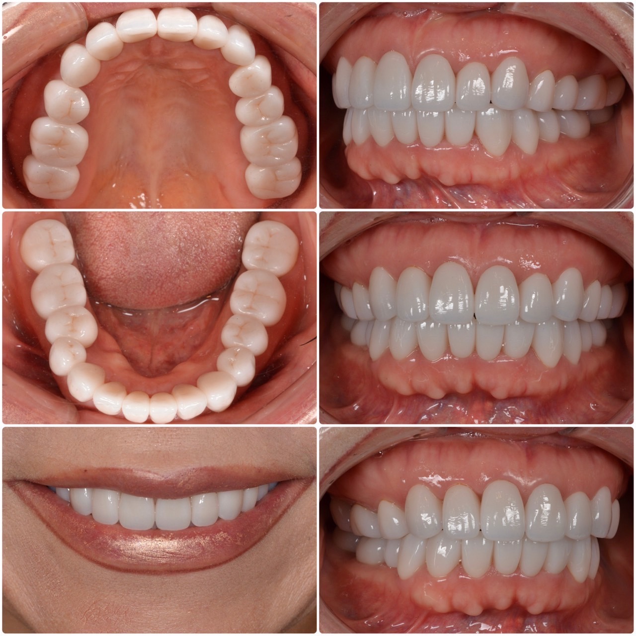
見た目も機能も完全改善——それが当院の全顎治療です。インプラント・矯正・セラミックを組み合わせ、患者様一人ひとりに最適なプランをご提案します。治療内容・費用・期間について丁寧にご説明し、十分にご納得いただいてから治療を進めます。

全顎治療の専門医院として、これまで多くの患者様の人生を変えてきました。「もっと早く来ればよかった」と言っていただける治療を、私たちは全力でお届けします。

No. 1

インプラント治療

失った歯を、人生ごと取り戻す。

噛む力も、見た目も、天然歯に限りなく近く

インプラントは、失った歯根の代わりに人工歯根を顎骨に埋め込み、天然歯に限りなく近い噛み心地と見た目を実現する治療です。入れ歯やブリッジと異なり、周囲の歯を削らずに済み、しっかりと噛めることで食事・会話・表情が豊かになります。「人生を変える全顎治療」の土台となる、最も重要な治療のひとつです。

No. 2

矯正歯科治療

歯並びを整えることが、人生を整えること。

見た目も機能も、根本から完全に改善する

矯正治療は、歯並びと噛み合わせを根本から整え、審美性・機能性・口腔の健康を同時に改善します。見た目のコンプレックスが解消されることで、笑顔に自信が生まれ、日常生活や人間関係にもポジティブな変化をもたらします。当院ではワイヤー矯正・マウスピース矯正など、ライフスタイルに合わせた方法をご提案します。

No. 3

セラミック治療

美しい歯が、あなたの印象を変える。

金属ゼロ、透明感ある白さで口元を完全リセット

セラミック治療は、金属を一切使用しない白い素材で歯を美しく修復する治療です。天然歯に近い透明感・色調・質感を再現でき、金属アレルギーの心配もありません。全顎治療の仕上げとして、口元全体の審美性を高め、「見た目も機能も完全改善」を完成させる重要なステップです。

Venus Veneer

スピーディーで
削らないベニア治療

自然で美しい口元へ
韓国式ベニア
ヴィーナスベニア 削らないベニア治療
ベニアの特徴
1
歯をほとんど削らない、または最小限の処置
2
痛みが少なく身体への負担が小さい
3
自然な透明感のある仕上がり
4
短期間で美しい口元へ
こんな方におすすめ
前歯の色が気になる
すきっ歯を改善したい
前歯の形を整えたい
短期間で美しくしたい
歯を大きく削りたくない
FAQ
よくあるご質問
Q.
本当に削りませんか?
A.
できる限り歯を削らない方法を検討いたします。ただし、歯並び・噛み合わせ・歯の厚み・仕上がりの美しさを考慮し、必要最小限の調整を行う場合があります。無理に「削らない」ことを優先せず、長期的な安定性と自然な美しさを重視しています。
Q.
不自然になりませんか?
A.
白さだけを追求するのではなく、お顔立ち・唇・歯ぐきとのバランス、透明感、自然なスマイルラインを大切にしています。患者様のお好みを伺いながら、上品で自然な印象を目指してデザインいたします。
Q.
取れませんか?
A.
適切な診断・設計・接着処理を行うことで、安定してご使用いただけるケースが多くあります。ただし、強い噛みしめ・歯ぎしり・硬いものを頻繁に噛む習慣などにより、欠けや外れのリスクが生じる場合があります。必要に応じてマウスピースをご提案することがあります。
当院のこだわり
院内デジタル設備完備
精密シミュレーション
審美性と噛み合わせの両立
長期安定を考慮した設計

院長紹介

Dentist

国内外の学会・勉強会に
参加し技術研鑽に努め、
診療に還元。

院長

岩城 賢珠Iwaki Kenju

審美・矯正歯科 専門歯科医師

国際インプラント学会(ICOI)
インプラント指導医

厚生労働省指定 臨床指導医

岩城賢珠

国内外の学会・勉強会に参加し
技術研鑽に努め、診療に還元。

賞状
資格・経歴へ

赤坂で上質の歯科治療を
お約束いたします。

ニュース

News
  • 2026.04.01
    【GW休診のお知らせ】 2026年5月1日(金)から5月6日(水)まで休診いたします。 患者様にはご不便をお掛け致します事をお詫び申し上げます。 何卒ご了承のほど宜しくお願い致します。
  • 2025.11.20
    【年末年始休診のお知らせ】2025年12月27日(土)から2026年1月4日(日)まで休診いたします。 ご不便をおかけいたしますがどうぞよろしくお願いいたします。
  • 2025.07.01
    【夏季休診のお知らせ】2025年8月9日(土)から8月17日(日)まで休診いたします。 ご不便をおかけいたしますがどうぞよろしくお願いいたします。
  • 2025.03.26
    【GW休診のお知らせ】2025年4月30日(水)から2025年5月6日(火)まで休診いたします。 ご不便をおかけいたしますがどうぞよろしくお願いいたします。
  • 2024.10.14
    【年末年始休診のお知らせ】2024年12月28日(土)から2025年1月5日(日)まで休診いたします。 ご不便をおかけいたしますがどうぞよろしくお願いいたします。
  • 2024.07.24
    【夏季休診のお知らせ】2024年8月15日(木)から8月21日(水)まで休診いたします。 ご不便をおかけいたしますがどうぞよろしくお願いいたします。
  • 2023.11.29
    【年末年始休診のお知らせ】2023年12月29日(金)から2024年1月8日(月)まで休診いたします。 ご不便をおかけいたしますがどうぞよろしくお願いいたします。
  • 2023.10.05
    【臨時休診のお知らせ】2023年10月30日 (月) は休診いたします。 ご不便をおかけいたしますがどうぞよろしくお願いいたします。
  • 2023.07.25
    【夏季休診のお知らせ】2023年8月11日 (金) から 8月20日 (日) まで休診いたします。 ご不便をおかけいたしますがどうぞよろしくお願いいたします。
  • 2022.12.01
    【年末年始休診のお知らせ】2022年12月30日 (金) 午前まで から2023年1月9日 (月) まで休診いたします。 ご不便をおかけいたしますがどうぞよろしくお願いいたします。
  • 2022.08.01
    【夏季休診のお知らせ】2022年8月10日 (水) から 8月16日 (火) まで休診いたします。 ご不便をおかけいたしますがどうぞよろしくお願いいたします。
  • 2021.12.01
    【年末年始休診のお知らせ】2021年12月29日 (水) から1月4日 (火) まで休診いたします。 ご不便をおかけいたしますがどうぞよろしくお願いいたします。
  • 2021.09.20
    【電車でのアクセスについて】 溜池山王駅、10番出口が工事中のため11番出口をご利用くださいませ。階段を上がりきりましたら信号は渡らず、コマツビル側にUターンし、隣のスター銀行の角を左へ曲がりビル2階でございます。ご不便おかけいたしますがどうぞよろしくお願いします。
  • 2020.12.29
    当院における感染予防対策はこちらをご覧ください
  • 2020.12.29
    ホームページをリニューアルしました。

メッセージ

Message

我慢する歯科医療から、
美しくなるための歯科医療へ。

米国で学び、数々の過程を修了。審美治療、インプラント、成人矯正、小児矯正の長い経歴を経て、 私の理想の歯科医療の形が実現しました。

当院では、保険診療から成人矯正・小児矯正・審美治療・インプラント・予防治療・歯周病など、すべての分野で高度な治療を目指しています。 それは、治療や予防だけにとどまらない、美しくなるための歯科医療です。

高品質の設備、磨かれた技術、意識の高いスタッフを揃えました。 全ての患者様にご満足いただける治療を提供すべく最高のパフォーマンスで望みたいと思っております。

私たちは愛情を持って患者様にとっての、治療、おもてなし、空間の提供をお約束します。

院長 岩城 賢珠

院長

岩城 賢珠Iwaki Kenju

  • 国際インプラント学会(ICOI)インプラント指導医

    国際インプラント学会
    (ICOI)
    インプラント指導医

  • ハーバード大学 Fourth Ivy League Estheics and Implant Course

    ハーバード大学
    Fourth Ivy League
    Estheics and
    Implant Course

  • ニューヨーク大学 CEコース

    ニューヨーク大学
    CEコース

  • テンプル大学 CEコース

    テンプル大学
    CEコース

  • ニューヨーク大学 CEコース

    ニューヨーク大学
    CEコース

  • 南カリフォルニア大学 歯学部 CEコース

    南カリフォルニア大学
    歯学部 CEコース

※クリックすると拡大画像が閲覧できます。

  • 提携医療機関

    赤坂ヴィーナスデンタルクリニックは、
    国内外の医療機関と提携を保ち、
    高度医療を提供します。

    • 東京歯科大学 水道橋病院

    • 順天堂大学医学部附属 順天堂医院

    • 山東省濱州市 濱州医科大学

    • カリフォルニア州
      ロサンゼルス市
      南カリフォルニア大学

  • 地域医療への取り組み

    東京都周術期口腔ケア体制基盤整備事業に
    賛同し、がん治療時のお口のケアを
    提供しています。

    東京都周術期口腔ケア体制基盤整備事業 がん治療連携登録歯科医院

  • 指導医としての取り組み

    歯科医師への臨床研修指導を行う、
    臨床研修指導医として厚生労働省指定を
    受けています。

    厚生労働省認定 臨床研修指導医