03-3585-0081
WEB予約
無料メール相談
公式LINE
ホーム
治療メニュー
症例紹介
当院のご紹介
院長・スタッフ紹介
設備紹介
診療時間・アクセス
Menu
診療時間・アクセス
公式LINE
電話する
お問い合わせ
歯科治療例
医院案内
コンセプト・理念
ビジネスマンや経営者の方へ
モデル・芸能関係の方へ
アスリートの方へ
患者様へのおもてなし
院長・スタッフ紹介
院内紹介
設備紹介
院内技工
治療メニュー
インプラント
審美メニュー
-審美(エステティック)
-オールセラミック
-ヴィーナスベニア
-ホワイトニング
矯正歯科メニュー
-矯正歯科
-小児矯正
-成人矯正(ワイヤー矯正)
-マウスピース型矯正
-部分矯正
歯周病
オーダーメイド歯科
噛み合わせ
ボトックス
予防治療メニュー
-予防治療
-歯科ドック
-歯石取り・クリーニング
痛みの少ないレーザー
虫歯
口腔外科
小児歯科
料金表メニュー
費用・料金表
詰め物・被せ物
矯正歯科
インプラント
ホワイトニング
治療例
治療例一覧
インプラント
矯正歯科
審美歯科
採用情報
Recruit
症例集
Case
院内ブログ
Blog
サイトマップ
審美治療|歯科治療例
Category
ホーム
>
審美治療|歯科治療例
カテゴリ|全て
ブログTOPへ戻る
インプラント|歯科治療例
歯科衛生士の業務
お知らせ
歯科治療例
今週のお花
矯正歯科|歯科治療例
審美治療|歯科治療例
感染予防対策【コロナ等】
設備・機材
院内新聞
活動報告
メディア出演・掲載
コンシェルジュ日誌
歯科技工士の業務
2026.03.31
審美治療|歯科治療例
見た目、歯並びが気になる
主訴・術前 見た目・歯並びが気になる。 術後の患者様の感想 忙しくて中々歯医者に通う事が出来なかったのですが、 短期間で治療をして下さったので、快適に過ごすことができたので良かったです。 院長先生や皆様が優しく接してくだ…
続きを読む
2026.03.25
コンシェルジュ日誌
仮歯について 2026.03.25
【富裕層に選ばれるセラミック治療】 皆様、こんにちは。 コンシェルジュの早川です。 本日は仮歯についてです🦷 仮歯のまま放置していませんか? とりあえず仮歯だから大丈夫、 そう思ってそのままにしてしまっている方、意外と多いです。 ですが、仮…
続きを読む
2026.03.18
インプラント|歯科治療例
白い歯にするならセラミックという選択 2026.03.18
【セレブに選ばれるセラミック治療】 皆様こんにちは。 コンシェルジュの早川です。 〜白い歯にするならセラミックという選択〜 ホワイトニングで満足できない方へ セラミックという選択肢をおすすめします🦷✨ ただ白いだけじゃない本当に美しい歯を手…
続きを読む
2026.03.13
インプラント|歯科治療例
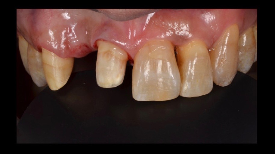
将来的な治療をしたい 40代女性 2026.3.13
主訴・術前 転倒してしまい将来的な治療をしたい 術後の患者様の感想 転倒して前歯がなく不安だらけでしたが先生をはじめスタッフの方々がサポートしていただいたおかげで不安もどんどんなくなり安心して治療を受けることができました。 また、少しでも気…
続きを読む
2026.03.11
コンシェルジュ日誌
花粉症と口呼吸 2026.03.11
【セレブに選ばれるセラミック治療】 皆様、こんにちは。 コンシェルジュの早川です。 本日は、花粉症と口呼吸の関係についてです🌷 春になるとつらい花粉症ですが… 実は、お口の健康にも影響することをご存じですか? 花…
続きを読む
3 / 15
前へ
1
2
3
4
5
...
10
...
次へ
»