03-3585-0081
WEB予約
無料メール相談
公式LINE
ホーム
治療メニュー
症例紹介
当院のご紹介
院長・スタッフ紹介
設備紹介
診療時間・アクセス
Menu
診療時間・アクセス
公式LINE
電話する
お問い合わせ
歯科治療例
医院案内
コンセプト・理念
ビジネスマンや経営者の方へ
モデル・芸能関係の方へ
アスリートの方へ
患者様へのおもてなし
院長・スタッフ紹介
院内紹介
設備紹介
院内技工
治療メニュー
インプラント
審美メニュー
-審美(エステティック)
-オールセラミック
-ヴィーナスベニア
-ホワイトニング
矯正歯科メニュー
-矯正歯科
-小児矯正
-成人矯正(ワイヤー矯正)
-マウスピース型矯正
-部分矯正
歯周病
オーダーメイド歯科
噛み合わせ
ボトックス
予防治療メニュー
-予防治療
-歯科ドック
-歯石取り・クリーニング
痛みの少ないレーザー
虫歯
口腔外科
小児歯科
料金表メニュー
費用・料金表
詰め物・被せ物
矯正歯科
インプラント
ホワイトニング
治療例
治療例一覧
インプラント
矯正歯科
審美歯科
採用情報
Recruit
症例集
Case
院内ブログ
Blog
サイトマップ
歯科技工士の業務
Category
ホーム
>
歯科技工士の業務
カテゴリ|全て
ブログTOPへ戻る
インプラント|歯科治療例
歯科衛生士の業務
お知らせ
歯科治療例
今週のお花
矯正歯科|歯科治療例
審美治療|歯科治療例
感染予防対策【コロナ等】
設備・機材
院内新聞
活動報告
メディア出演・掲載
コンシェルジュ日誌
歯科技工士の業務
2024.12.02
歯科技工士の業務
歯並びの歪みを治すセラミック治療 2024.12.2
見た目だけでは無い歯並びの重要性 赤坂ヴィーナスデンタルクリニック歯科技工士の井上です。今回は当院が得意としている全顎セラミック治療に関するポイントを一つお話致します。 早速ですがそれは、咬合平面です。お口を開けた際に下顎の歯並びが真っ直ぐ…
続きを読む
2024.11.18
歯科技工士の業務
矯正シミュレーションを行いました。2024.11.18
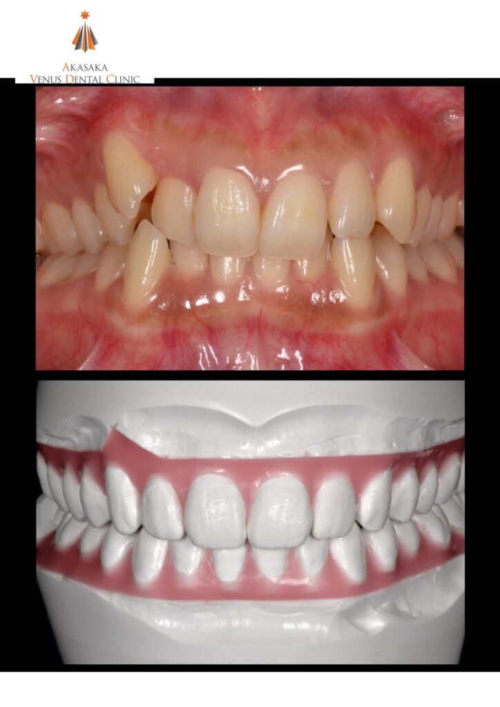
赤坂ヴィーナスデンタルクリニック歯科技工士の井上です。 本日は歯並びで悩まれている方の診断模型を作りました! 歯型から石膏模型を作り、一歯づつ切り分けて理想的な歯並びに並べ替えます。 細かな計測とレントゲン写真などを考慮しながら歯科矯正医と…
続きを読む
2024.11.11
歯科技工士の業務
前歯のセラミックスをセットしました。2024.11.11
こんにちは、赤坂ヴィーナスデンタルクリニック歯科技工士の井上です。 本日は前歯の審美障害でいらっしゃった患者様にジルコニアセラミックスを装着したところです! 透明感の有る白さがとても綺麗です。歯ぐきもとても馴染んでいます。
続きを読む
2024.10.28
歯科技工士の業務
ヴィーナスクラウンを製作しました。2024.10.28
こんにちは、赤坂ヴィーナスデンタルクリニック歯科技工士の井上です。 本日は前歯のジルコニアセラミックを製作しました! 当院は口腔スキャナーもございますが、今回は前歯の自然感を出すために型取りから一本一本、手作業で作り上げました!
続きを読む
2021.12.27
歯科技工士の業務
防火防災管理者 2021.12.27
赤坂ヴィーナスデンタルクリニック院内技工士の井上でございます。 当院では院内の火災や防災に備えて消防庁の資格を有しております。 最近では、無差別テロのような放火が横行しておりますね。本当に残念です。犠牲となられた方々のご冥福をお祈りいたすと…
続きを読む
1 / 2
1
2
次へ