03-3585-0081
WEB予約
無料メール相談
公式LINE
ホーム
治療メニュー
症例紹介
当院のご紹介
院長・スタッフ紹介
設備紹介
診療時間・アクセス
Menu
診療時間・アクセス
公式LINE
電話する
お問い合わせ
歯科治療例
医院案内
コンセプト・理念
ビジネスマンや経営者の方へ
モデル・芸能関係の方へ
アスリートの方へ
患者様へのおもてなし
院長・スタッフ紹介
院内紹介
設備紹介
院内技工
治療メニュー
インプラント
審美メニュー
-審美(エステティック)
-オールセラミック
-ヴィーナスベニア
-ホワイトニング
矯正歯科メニュー
-矯正歯科
-小児矯正
-成人矯正(ワイヤー矯正)
-マウスピース型矯正
-部分矯正
歯周病
オーダーメイド歯科
噛み合わせ
ボトックス
予防治療メニュー
-予防治療
-歯科ドック
-歯石取り・クリーニング
痛みの少ないレーザー
虫歯
口腔外科
小児歯科
料金表メニュー
費用・料金表
詰め物・被せ物
矯正歯科
インプラント
ホワイトニング
治療例
治療例一覧
インプラント
矯正歯科
審美歯科
採用情報
Recruit
症例集
Case
院内ブログ
Blog
サイトマップ
コンシェルジュ日誌
Category
ホーム
>
コンシェルジュ日誌
カテゴリ|全て
ブログTOPへ戻る
インプラント|歯科治療例
歯科衛生士の業務
お知らせ
歯科治療例
今週のお花
矯正歯科|歯科治療例
審美治療|歯科治療例
感染予防対策【コロナ等】
設備・機材
院内新聞
活動報告
メディア出演・掲載
コンシェルジュ日誌
歯科技工士の業務
2026.05.13
インプラント|歯科治療例
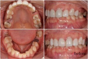
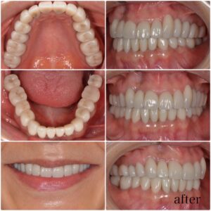
初夏に差がつく、美しい口元へ 2026.05.13
【セレブに人気のセラミック治療】 新生活が落ち着き始める5月。 ふとした瞬間の笑顔や会話の中で、口元の印象は思っている以上に見られています。初夏に向けて、今こそお口の環境を整える絶好のタイミングです🦷✨ 5月は一見、過ごしやすく安定した時期…
続きを読む
2026.04.22
インプラント|歯科治療例
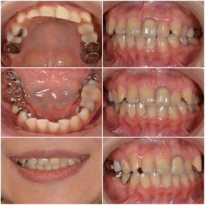
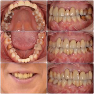
白い歯にする方法 2026.04.22
【セレブに人気のセラミック治療】 皆様、こんにちは。 コンシェルジュの早川です。 白い歯にする方法は主に、ホワイトニング・クリーニング・セラミック治療の3つがあります🦷✨ それぞれ目的と適応が異なるためご紹介していきます!🎶 【ホワイトニン…
続きを読む
2026.04.15
インプラント|歯科治療例
横顔美人について 2026.04.15
皆様、こんにちは。 コンシェルジュの早川です。 本日は横顔美人についてです✨✨ 横顔の美しさは「Eライン(エステティックライン)」で大きく左右されます。 Eラインとは、鼻先とあご先を結んだ直線のことです。 理想的なバランスでは、上下の唇がこ…
続きを読む
2026.04.09
インプラント|歯科治療例
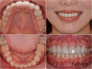
なぜ外資系の人は歯が綺麗なのか? 2026.04.09
皆様こんにちは。 コンシェルジュの早川です。 なぜ外資系の人は歯が綺麗なのか? についてです😁✨✨ 外資系企業で働く人ほど、歯並びや歯の色が整っていると感じたことはありませんか? 実はこれには、いくつか明確な理由があります。 ① 第一印象=…
続きを読む
2026.04.01
コンシェルジュ日誌
セラミック治療が選ばれる理由 2026.04.01
【富裕層に選ばれるセラミック治療】 皆様、こんにちは。 コンシェルジュの早川です🌸 本日はセラミック治療が人気の理由についてです🦷✨✨ 詰め物や被せ物をセラミックにしたいとご希望される方が増えています。 その理由は、見た目の美しさだけではあ…
続きを読む
1 / 48
1
2
3
4
5
...
10
20
30
...
次へ
»