03-3585-0081
WEB予約
無料メール相談
公式LINE
ホーム
治療メニュー
症例紹介
当院のご紹介
院長・スタッフ紹介
設備紹介
診療時間・アクセス
Menu
診療時間・アクセス
公式LINE
電話する
お問い合わせ
歯科治療例
医院案内
コンセプト・理念
ビジネスマンや経営者の方へ
モデル・芸能関係の方へ
アスリートの方へ
患者様へのおもてなし
院長・スタッフ紹介
院内紹介
設備紹介
院内技工
治療メニュー
インプラント
審美メニュー
-審美(エステティック)
-オールセラミック
-ホワイトニング
矯正歯科メニュー
-矯正歯科
-小児矯正
-成人矯正(ワイヤー矯正)
-マウスピース型矯正
-部分矯正
歯周病
オーダーメイド歯科
噛み合わせ
ボトックス
予防治療メニュー
-予防治療
-歯科ドック
-歯石取り・クリーニング
痛みの少ないレーザー
虫歯
口腔外科
小児歯科
料金表メニュー
費用・料金表
詰め物・被せ物
矯正歯科
インプラント
ホワイトニング
治療例
治療例一覧
インプラント
矯正歯科
審美歯科
採用情報
Recruit
症例集
Case
院内ブログ
Blog
サイトマップ
お知らせ
Category
ホーム
>
お知らせ
カテゴリ|全て
ブログTOPへ戻る
インプラント|歯科治療例
歯科衛生士の業務
お知らせ
歯科治療例
今週のお花
矯正歯科|歯科治療例
審美治療|歯科治療例
感染予防対策【コロナ等】
設備・機材
院内新聞
活動報告
メディア出演・掲載
コンシェルジュ日誌
歯科技工士の業務
2026.01.13
お知らせ
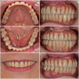
セラミック希望 50代女性 2026.1.13
主訴・術前 セラミック希望 術後の患者様の感想 痛みが苦手で治療を何年も先延ばしにしていました。 歯医者も数十年ぶりで、歯周治療なども併用して歯も歯茎もとても綺麗に生まれ変わり、本当に感動しています。 今後はメンテナンスにもしっかり…
続きを読む
2026.01.07
お知らせ
新年明けましておめでとうございます 2026.1.7
皆様、こんにちは。 コンシェルジュの早川です。 ~謹 賀 新 年~ 新年明けましておめでとうございます。 旧年中は当院にご来院いただき、誠にありがとうございました。本年も皆さまが安心して通っていただけるよう、丁寧で質の高い歯科医療を心がけて…
続きを読む
2025.12.24
お知らせ
1年の感謝を込めて 2025.12.24
~1年の感謝を込めて~ 本年も当院へ足をお運びいただき、誠にありがとうございました。 皆さまに支えられ、無事に一年の診療を終えることができましたこと、心より感謝申し上げます。 日々の診療を通じて、多くの患者さまの笑顔に触れながら、「口腔の健…
続きを読む
2025.12.22
お知らせ
セラミック、噛み合わせが気になる 60代女性 2025.12.22
主訴・術前 セラミック、噛み合わせが気になる。 術後の患者様の感想 数年前にマウスピース矯正を行ったのですが、噛み合わせが合っていなく気になっていました。また、10年前に治療したラミネートベニアも劣化して色が気になっていたので、今回…
続きを読む
2025.12.18
お知らせ
今年中に矯正治療を! 2025.12.18
皆様こんにちは。 コンシェルジュの早川です。 寒さが本格的になってまいりましたが、皆様はいかがお過ごしでしょうか❄️✨ 年内に口腔環境を整えて、きれいな口元で新年を迎えませんか?🦷✨ 12月も中旬となりましたが、 この時期は「年内のうちに口…
続きを読む
1 / 117
1
2
3
4
5
...
10
20
30
...
次へ
»