03-3585-0081
WEB予約
無料メール相談
公式LINE
ホーム
治療メニュー
症例紹介
当院のご紹介
院長・スタッフ紹介
設備紹介
診療時間・アクセス
Menu
診療時間・アクセス
公式LINE
電話する
お問い合わせ
歯科治療例
医院案内
コンセプト・理念
ビジネスマンや経営者の方へ
モデル・芸能関係の方へ
アスリートの方へ
患者様へのおもてなし
院長・スタッフ紹介
院内紹介
設備紹介
院内技工
治療メニュー
インプラント
審美メニュー
-審美(エステティック)
-オールセラミック
-ヴィーナスベニア
-ホワイトニング
矯正歯科メニュー
-矯正歯科
-小児矯正
-成人矯正(ワイヤー矯正)
-マウスピース型矯正
-部分矯正
歯周病
オーダーメイド歯科
噛み合わせ
ボトックス
予防治療メニュー
-予防治療
-歯科ドック
-歯石取り・クリーニング
痛みの少ないレーザー
虫歯
口腔外科
小児歯科
料金表メニュー
費用・料金表
詰め物・被せ物
矯正歯科
インプラント
ホワイトニング
治療例
治療例一覧
インプラント
矯正歯科
審美歯科
採用情報
Recruit
症例集
Case
院内ブログ
Blog
サイトマップ
お知らせ
Category
ホーム
>
お知らせ
カテゴリ|全て
ブログTOPへ戻る
インプラント|歯科治療例
歯科衛生士の業務
お知らせ
歯科治療例
今週のお花
矯正歯科|歯科治療例
審美治療|歯科治療例
感染予防対策【コロナ等】
設備・機材
院内新聞
活動報告
メディア出演・掲載
コンシェルジュ日誌
歯科技工士の業務
2025.04.23
お知らせ
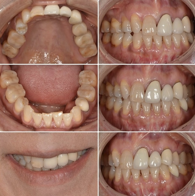
オールセラミックで綺麗にしたい 40代女性 2025.4.23
主訴・術前 オールセラミックで綺麗にしたい 術後の患者様の感想 今までの歯が思い出せないぐらい綺麗になりました。 スタッフの方々がサポートしていただけたので安心して通う事もできましたし、銀歯や噛み合わせがとても気になっていましたが無事に治っ…
続きを読む
2025.04.22
お知らせ
歯並びを治したい 30代女性 2025.4.22
主訴・術前 歯並びを治したい 術後の患者様の感想 治療後の仕上がりにとても満足しています。 不揃いな形の犬歯は、とても自然な被せ物を作って頂きました。 以前他院で矯正を行ってから後戻りをしてしまったので、今後はそうならないよう より一層気を…
続きを読む
2025.04.18
お知らせ
顎が痛い•前歯が長い2025.4.18
主訴・術前 顎が痛い。前歯が長い。 術後の患者様の感想 長年の悩みだった顎の痛みが無くなり、肩も軽くなりました。 前歯は仮歯で調整したものと同じ長さにしていただき、ホワイトニング色を選んだので色も形も気に入っています。 私の中では、人生が変…
続きを読む
2025.04.16
お知らせ
4月18日は『よい歯の日』2025.04.16
【芸能人が好むセラミック治療】皆様、こんにちは。 コンシェルジュの早川です。 新生活にも慣れてきた頃かと思いますが、皆様はいかがお過ごしでしょうか。 さて、4月18日は『よい歯の日』です🦷 「80歳になっても20本以上の歯を…
続きを読む
2025.04.15
お知らせ
セラミック希望 50代女性 2025.4.15
主訴・術前 セラミック希望、口元が内側に入って気になる。 術後の患者様の感想 とても綺麗なセラミックを入れていただき、感謝しています。先生をはじめとしたスタッフの方々皆さんの対応が心地よく、いつも快適に通うことができます。 こちらの要望も毎…
続きを読む
16 / 117
«
前へ
...
10
...
14
15
16
17
18
...
30
40
50
...
次へ
»