03-3585-0081
WEB予約
無料メール相談
公式LINE
ホーム
治療メニュー
症例紹介
当院のご紹介
院長・スタッフ紹介
設備紹介
診療時間・アクセス
Menu
診療時間・アクセス
公式LINE
電話する
お問い合わせ
歯科治療例
医院案内
コンセプト・理念
ビジネスマンや経営者の方へ
モデル・芸能関係の方へ
アスリートの方へ
患者様へのおもてなし
院長・スタッフ紹介
院内紹介
設備紹介
院内技工
治療メニュー
インプラント
審美メニュー
-審美(エステティック)
-オールセラミック
-ヴィーナスベニア
-ホワイトニング
矯正歯科メニュー
-矯正歯科
-小児矯正
-成人矯正(ワイヤー矯正)
-マウスピース型矯正
-部分矯正
歯周病
オーダーメイド歯科
噛み合わせ
ボトックス
予防治療メニュー
-予防治療
-歯科ドック
-歯石取り・クリーニング
痛みの少ないレーザー
虫歯
口腔外科
小児歯科
料金表メニュー
費用・料金表
詰め物・被せ物
矯正歯科
インプラント
ホワイトニング
治療例
治療例一覧
インプラント
矯正歯科
審美歯科
採用情報
Recruit
症例集
Case
院内ブログ
Blog
サイトマップ
お知らせ
Category
ホーム
>
お知らせ
カテゴリ|全て
ブログTOPへ戻る
インプラント|歯科治療例
歯科衛生士の業務
お知らせ
歯科治療例
今週のお花
矯正歯科|歯科治療例
審美治療|歯科治療例
感染予防対策【コロナ等】
設備・機材
院内新聞
活動報告
メディア出演・掲載
コンシェルジュ日誌
歯科技工士の業務
2024.06.05
お知らせ
歯と口の健康週間 2024.06.05
早いもので今年も半分が過ぎようとしております。梅雨の時期でもある6月ですが、爽やかな初夏を楽しみに乗り切りましょう☔️ さて、6月4日~10日は「歯と口の健康週間」🦷です。 歯と口の健康に関する正…
続きを読む
2024.05.31
お知らせ
舞台鑑賞✨✨2024.5.31
皆様こんにちは😌✨歯科衛生士の太田です! 先日、院長先生とスタッフのみんなで、姉妹医院のいわき歯科の皆様と一緒に舞台を鑑賞してまいりました🌱🎶私は初めての舞台鑑賞だったのですが、…
続きを読む
2024.05.31
お知らせ
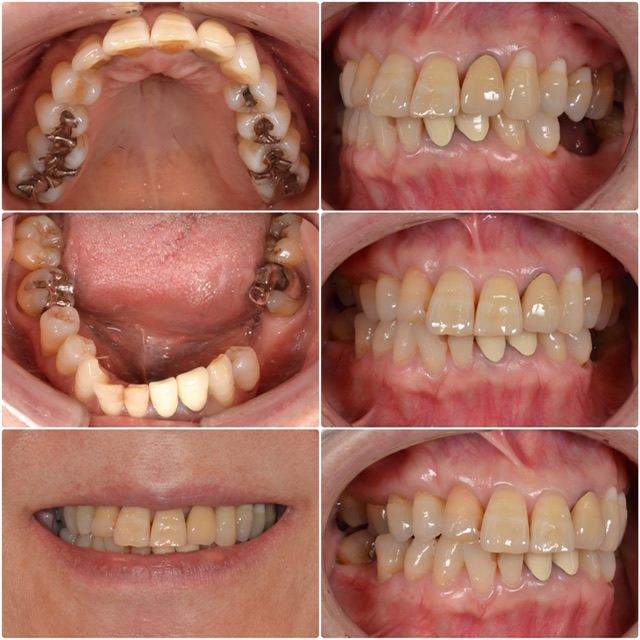
全体的に綺麗にしたい2024.5.31
主訴・術前 全体的に綺麗にしたい。 術後の患者様の感想 院長先生を初め、スタッフの方々がとても親切に対応して下さったので治療を気持ちよく受けることができました。 また、全体的にとても綺麗にしていただいたので、笑った時に綺麗な歯並びを見ていつ…
続きを読む
2024.05.30
お知らせ
歯ぎしり 2024.05.30
皆様こんにちは。 コンシェルジュの早川です。 本日は、歯ぎしりについてです。 歯ぎしりは、口腔内だけではなく全身にさまざまな弊害が起こることをご存じですか? 食事の際、歯にかかる力が体重と同じくらいであるのに対し、歯ぎしりをしている時は体重…
続きを読む
2024.05.29
お知らせ
歯並びを良くしたい
主訴・術前 人前に出る仕事の為歯並びを良くしたい。より良い治療方法があれば相談したい。 診断の結果 先天的に上の歯が一本少ない為ワイヤー矯正を行いセラミックの歯を入れるスペースを作る処置を行いました。両隣りの歯を削って土台を作り、橋渡しをす…
続きを読む
50 / 117
«
前へ
...
10
20
30
...
48
49
50
51
52
...
60
70
80
...
次へ
»