03-3585-0081
WEB予約
無料メール相談
公式LINE
ホーム
治療メニュー
症例紹介
当院のご紹介
院長・スタッフ紹介
設備紹介
診療時間・アクセス
Menu
診療時間・アクセス
公式LINE
電話する
お問い合わせ
歯科治療例
医院案内
コンセプト・理念
ビジネスマンや経営者の方へ
モデル・芸能関係の方へ
アスリートの方へ
患者様へのおもてなし
院長・スタッフ紹介
院内紹介
設備紹介
院内技工
治療メニュー
インプラント
審美メニュー
-審美(エステティック)
-オールセラミック
-ヴィーナスベニア
-ホワイトニング
矯正歯科メニュー
-矯正歯科
-小児矯正
-成人矯正(ワイヤー矯正)
-マウスピース型矯正
-部分矯正
歯周病
オーダーメイド歯科
噛み合わせ
ボトックス
予防治療メニュー
-予防治療
-歯科ドック
-歯石取り・クリーニング
痛みの少ないレーザー
虫歯
口腔外科
小児歯科
料金表メニュー
費用・料金表
詰め物・被せ物
矯正歯科
インプラント
ホワイトニング
治療例
治療例一覧
インプラント
矯正歯科
審美歯科
採用情報
Recruit
症例集
Case
院内ブログ
Blog
サイトマップ
お知らせ
Category
ホーム
>
お知らせ
カテゴリ|全て
ブログTOPへ戻る
インプラント|歯科治療例
歯科衛生士の業務
お知らせ
歯科治療例
今週のお花
矯正歯科|歯科治療例
審美治療|歯科治療例
感染予防対策【コロナ等】
設備・機材
院内新聞
活動報告
メディア出演・掲載
コンシェルジュ日誌
歯科技工士の業務
2023.08.23
お知らせ
矯正治療 2023.08.23
皆様こんにちは。コンシェルジュの早川です。 皆さまはご自身の歯並びを気にされたことはございますか。👄 「昔から気になってはいるが大人になってからではあまり綺麗にならないのではないか」「矯正はしたいが見た目が気になる」という方…
続きを読む
2023.08.22
お知らせ
食事が辛い 50代男性 2023.8.22
主訴・術前 全体的にボロボロで食べるのが辛い。食事をする際には左で食べているが審美的にも治したい。 診断の結果 スポーツを長年行っており顎関節症の影響が見られたため顎の位置を戻す処置に重点をおき治療計画を考えました。セラミックをはじめインプ…
続きを読む
2023.08.10
お知らせ
当院の歯周治療について 2023.8.10
皆様こんにちは☺️✨歯科衛生士の太田です! 夜まで暑く、クーラーなしでは眠れない日々が続いておりますが皆様お元気にお過ごしでしょうか。 本日は当院の歯周病治療(TPP•トータルぺリオプログラム)につ…
続きを読む
2023.08.08
お知らせ
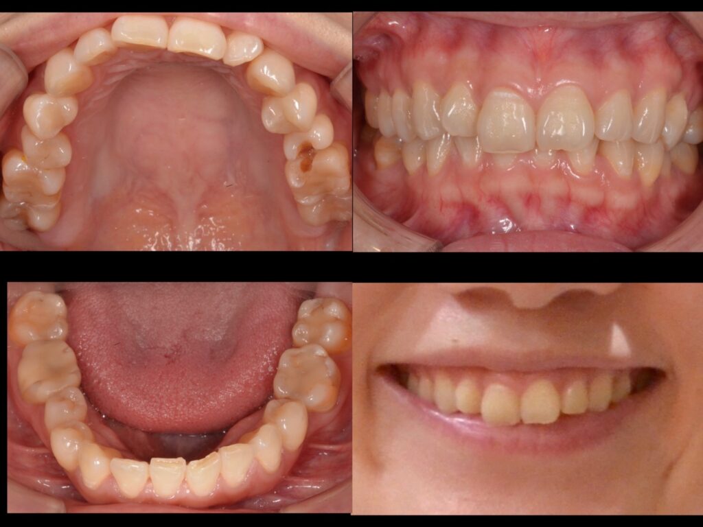
歯並びを改善し悪いところは全て治したい 30代女性 2023.8.8
主訴・術前 染みるところがあるため見てほしい。 歯並びを改善し、悪い所はすべて治したい。 診断の結果 先天的に一本歯が足りないためワイヤーにて歯列矯正を行いました。抜歯・インプラント治療はご希望ではなかったので噛み合わせ等の診断を何度も行い…
続きを読む
2023.08.04
お知らせ
不正咬合と歯周病の関連性について2023.8.4
皆様こんにちは🌷✨歯科衛生士の市川です! スイカが美味しい季節になってきましたね🍉✨ 本日は不正咬合と歯周病の関連性についてお話致します。 まず、不正咬合とは歯並びや噛み合わせの状…
続きを読む
80 / 117
«
前へ
...
10
20
30
...
78
79
80
81
82
...
90
100
110
...
次へ
»