院内ブログBlog
院内ブログBlog
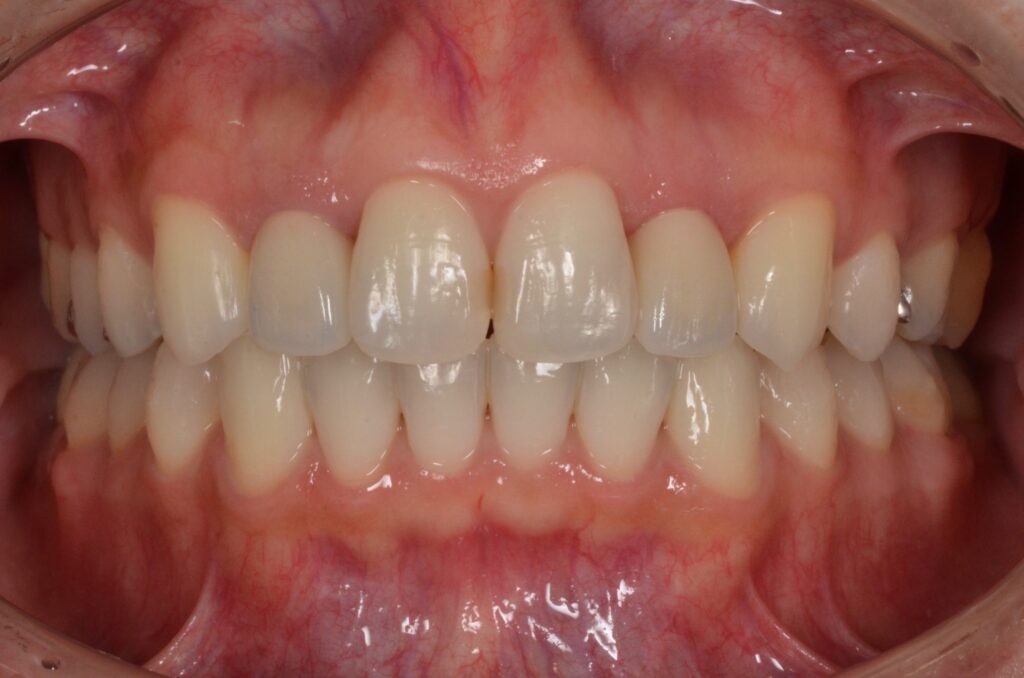
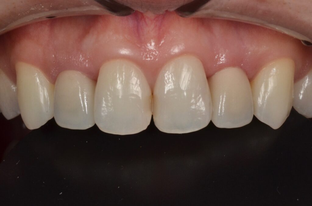
主訴・術前
他院での仮歯が気に入らず新しく作ってほしい。

診断の結果
仮歯を元にセラミックの作成を行うため歯の形状や色に不自然さがないように患者様が納得するまで仮歯の調整を行いました。
また、仮歯と本歯では素材等が違うため仮歯の段階で本歯に近い状態になるよう患者様との相談を繰り返しました。
術後の患者様の感想
対応が早くびっくりしました。
院内技工ということもあり色や形など気になることをすぐに相談できたので良かったです。
仕事の都合も相談できたので助かりました。


治療情報
| 主訴 | 仮歯の色が気になる |
| 診断名 | 叢生 |
| 年齢 | 30代男性 |
| 治療方法 | セラミック治療 |
| 抜歯部位 | 非抜歯 |
| 治療期間 | 1ヶ月 |
| 治療費 | セラミック治療 20万円/1本 |
| リスク 副作用 | 治療終了後のメンテナンス不足による歯周病 歯ぎしりや過剰な噛み締めによるセラミックスの破折 |