院内ブログBlog
院内ブログBlog

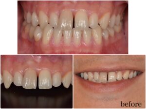
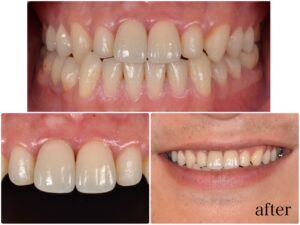
【芸能人に人気のセラミック治療】
皆様、こんにちは。
コンシェルジュの早川です。
🦷歯科治療も医療費控除の対象になることをご存じですか?
1年間に支払った医療費が一定額を超えた場合、
確定申告を行うことで、所得税や住民税の一部が戻ってくる制度が「医療費控除」です。
実は、歯科治療も多くが対象になります✨🦷
たとえば
・虫歯治療
・歯周病治療
・噛み合わせ改善を目的とした矯正治療
・被せ物など
治療目的の歯科治療は、医療費控除の対象となるケースがほとんどです。
※ただし、ホワイトニングなど
見た目の改善のみを目的とした治療は対象外となりますのでご注意ください。
1月は、昨年1年間の医療費を整理しらこれからの治療計画を考えるのにぴったりの時期です✨✨🪥
気になることがあればお気軽にご相談ください😊