院内ブログBlog
院内ブログBlog


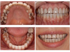
【モデルに人気のセラミック治療】
皆様、こんにちは。
コンシェルジュの早川です。
2月といえばバレンタインですね🤎❤️
バレンタインの時期はチョコレートや糖分を含む食品の摂取が増えるため、虫歯リスクが一時的に高まりやすい時期といえます。
◯虫歯ができるメカニズム
お口の中には常在菌が存在し、糖質を取り込むことで酸を産生します。この酸により歯の表面が溶ける現象を脱灰といいます。通常、唾液の働きにより再石灰化が起こりますが、•糖分摂取の頻度が多い•歯に付着しやすい食品が多い•唾液分泌量が少ない(冬・口呼吸・脱水)といった条件が重なると、脱灰が再石灰化を上回り、虫歯が進行します。バレンタインの時期は、チョコレートや糖分を含む食品の摂取が増えるため、虫歯リスクが一時的に高まりやすい時期といえます。
◯虫歯リスクを下げるためのポイント
✔ 摂取回数を決め、間食を減らす
✔ 食後は速やかなブラッシング
✔ フッ素配合歯磨剤の使用
✔ 唾液分泌を促す(水分摂取・よく噛む)
これらを意識することで、バレンタイン時期でも虫歯予防は十分可能です。
◯バレンタイン後の口腔チェック
初期の虫歯や歯肉炎は自覚症状が乏しいことが多く、定期的な検診・クリーニングが早期発見につながります。この機会にしっかり検診を受けましょう!