院内ブログBlog
院内ブログBlog


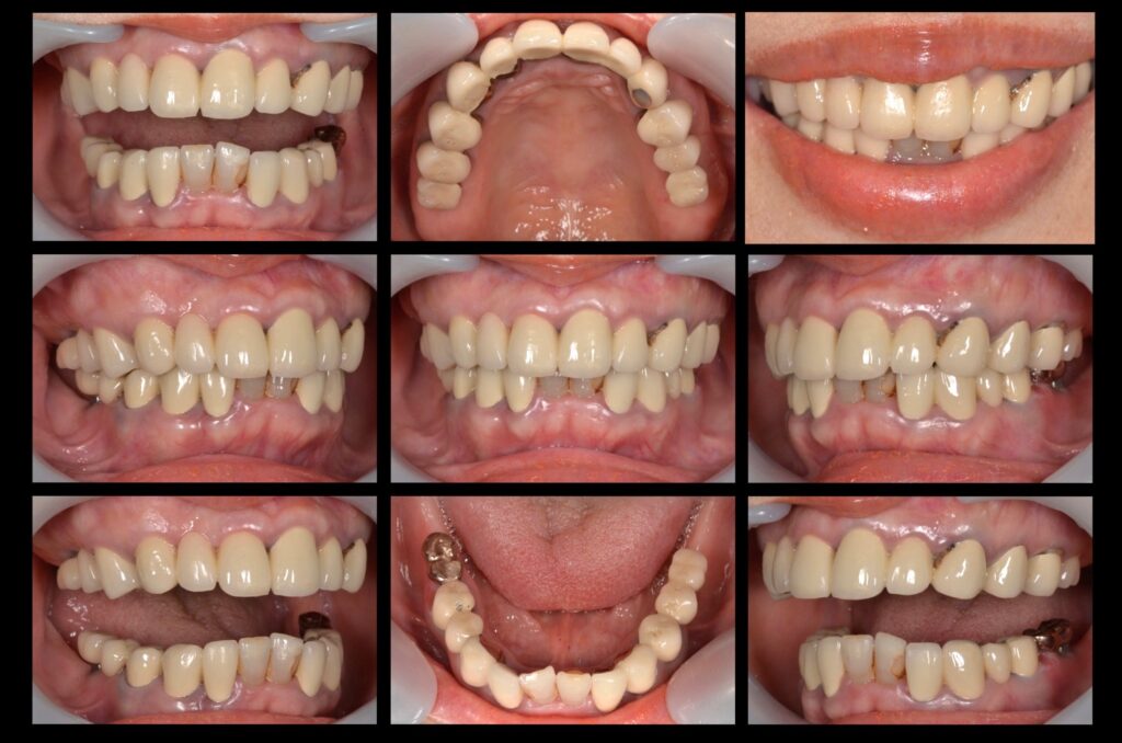
下の前歯が黒く見えて人前で笑えない。
浮くように噛み合わせが合わず、食事が不自由。
家族の紹介で20年ぶりの歯科医院。
主訴の歯牙以外はメタルボンドクラウン(金属のフレームにセラミックが焼付いているクラウン)で補綴してあり、不透明なセラミックと経年変色した天然歯とのギャップが生じていました。
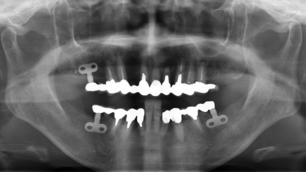
また、20年ぶりの歯科医院ということもあり歯の根やインプラント箇所に傷みが生じております。そして顎を全体的に評価すると主訴の下の前歯が歯列から飛び出し、下顎が食事や就寝時に動いたとき障害になっていることがわかりました。

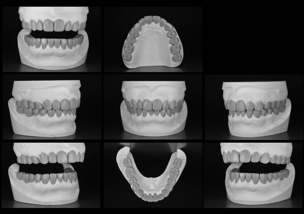
治療計画を練る上で、歯型を模型にして噛み合わせの器械(咬合器)上に患者様の状態を再現します。レントゲンやCT、写真を参考にし歯科用ワックスで治療のゴールをシミュレーションします。
問題となってる下の前歯の歯列から飛び出しを改善します。写真左上の顎を開けている模型を見ていただくと術前と比べ凹凸がなく、顎の動きの阻害しません。

患者様のご要望もあり、翌日より治療開始。見た目が気になるという気持ちはとても分かります。すぐに院内技工士が設計した綺麗な仮歯と入れ替えました。


人前での笑顔に自信がつき、食事は何でも食べられるので、今とても幸せです。
| 主訴 | 下の前歯が黒く見えて人前で笑えない、噛み合わせが合わず食事が不自由 |
| 診断名 | 不良インプラント・不正咬合・審美障害 |
| 年齢 | 60代女性 |
| 治療方法 | インプラント治療・根管治療 |
| 抜歯部位 | FDI表記 11.13.14.22.24.25.35.44.45 |
| 治療期間 | 8ヶ月 |
| 治療費 | 50万円/1本 |
| リスク 副作用 | インプラントオペによる一時的な炎症・出血や顔面の内出血、治療終了後のメンテナンス不足による歯周病やインプラント周囲炎、歯ぎしりや過剰な噛み締めによるセラミックスの破折。 |