院内ブログBlog
院内ブログBlog

奥歯が痛くて噛めない、前歯がボロボロで色が濃いので白くしたい。

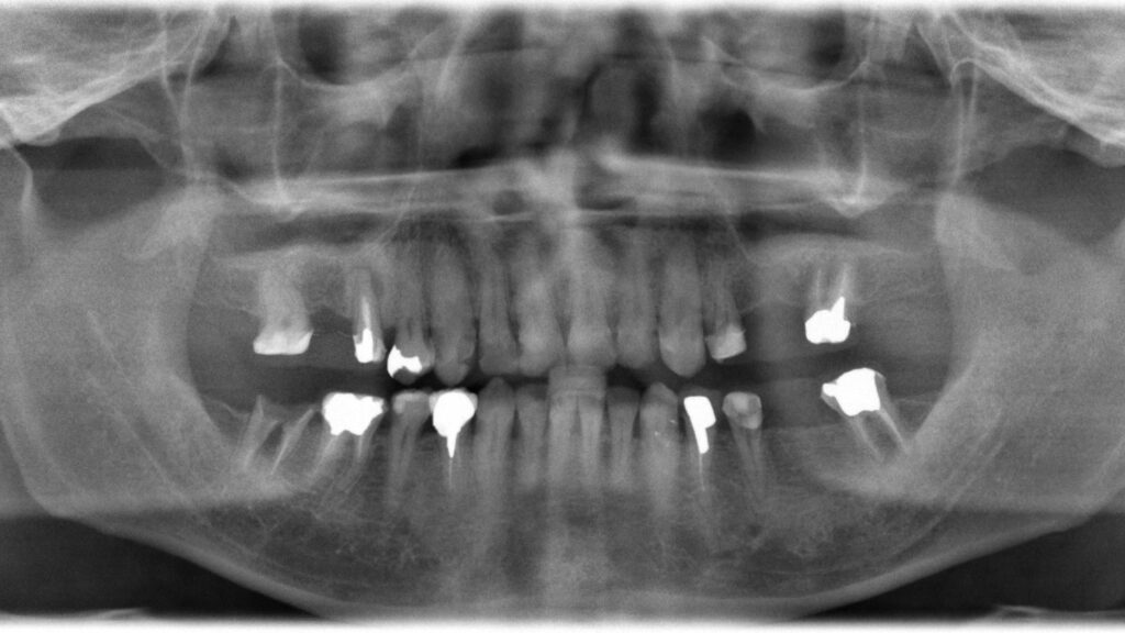
奥歯は傷みが酷く、確実にかみ合わせを支えるためにもインプラント治療となりました。後日インプラントオペの際は抜歯した歯牙に大量の膿が発生しておりました。
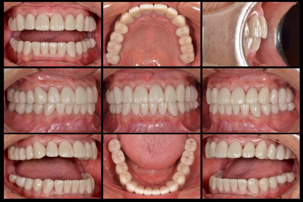
前歯は神経こそ有るもののCR(歯科用プラスチック)処置が多数施されており二次的な虫歯が発生しておりました。ここは健康な歯質のみを残し表面をセラミックで被せるオールセラミックス治療を行います。

治療計画を練る上で、歯型を模型にして噛み合わせの器械(咬合器)上に患者様の状態を再現します。レントゲンやCT、写真を参考にし歯科用ワックスで治療のゴールをシミュレーションします。


見違える様に白くてきれいな歯になり、本当に嬉しいです。インプラントもよく咬めるので、食事が楽しみです。
| 主訴 | 奥歯が噛めない、歯を白くしたい |
| 診断名 | 咬合不良・審美障害・う蝕 |
| 年齢 | 40代男性 |
| 治療方法 | インプラント治療・セラミックス治療 |
| 抜歯部位 | 14,25,27,37,46,47 |
| 治療期間 | 11ヶ月 |
| 治療費 | 50万円/1本 |
| リスク 副作用 | インプラントオペによる一時的な炎症・出血や顔面の内出血、治療終了後のメンテナンス不足による歯周病やインプラント周囲炎、歯ぎしりや過剰な噛み締めによるセラミックスの破折。 |