院内ブログBlog
院内ブログBlog

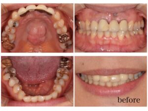
【セレブに人気のセラミック治療】
皆様こんにちは。
コンシェルジュの早川です。
本日は、セラミックと銀歯の違いについてです。
当院では、お口の中から金属を減らす「メタルフリー治療」を推奨しています🦷✨
理由は、「今だけでなく、10年・20年先も歯を守る治療」を大切にしているからです。
セラミック治療は、見た目の美しさ・噛み合わせの安定・歯と歯ぐきの健康維持
これらすべてを考えた、将来を見据えた選択だと考えています。
虫歯治療後の「被せ物」や「詰め物」には、主に銀歯(金属)とセラミックの2つの選択肢があります。
見た目の違いはよく知られていますが、実はそれ以外にも大きな違いがあります。
◯銀歯(メタル)の特徴
銀歯は保険診療で使用されることが多く、費用を抑えられる点がメリットでが下記のような注意点があります。
・時間とともに金属が劣化・変形しやすい
•歯とのすき間から再び虫歯になりやすい
•金属イオンが溶け出し、歯ぐきが黒ずむことがある
•金属アレルギーのリスクがある
長期的に見ると、見えない部分でトラブルにつながるケースも少なくありません。
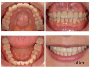
◯セラミックの特徴
セラミックは、天然歯に近い白さと透明感を持つ素材です。見た目の美しさだけでなく、機能面でも多くの利点があります。
•変色しにくく、自然な見た目が長く続く
•歯との適合性が高く、虫歯の再発リスクが低い
•表面がなめらかで、汚れが付きにくい
•金属を使用しないため、金属アレルギーの心配がない
しっかりと噛めて、清潔な状態を保ちやすいのが特長です✨🩵
気になる銀歯や被せ物がある方は、お気軽にご相談ください!
長く安心して使える歯を一緒に考えていきましょう⭐️