院内ブログBlog
院内ブログBlog
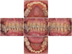
主訴・術前
むし歯とインプラントの治療をしたい

術後の患者様の感想
むし歯をずっと放置していて、歯も茶色くなってしまい、もうずっと歯を見せて笑うことはしていなかったのですが、全て綺麗な白いセラミックにしていただいてからは、どの角度から見られても自信をもって笑うことができます。
本当に人生が変わった治療です。ありがとうございます。

治療情報
|
主訴 |
むし歯とインプラントの治療をしたい |
|
診断名 |
審美障害 |
|
年齢 |
50代女性 |
|
治療方法 |
インプラント治療 セラミック治療 矯正治療 歯周治療 |
|
抜歯部位 |
左上5.7 右下4.6 左下6 |
|
治療期間 |
1年8ヵ月 |
|
治療費 |
インプラント52万円/1本 セラミック21万円/1本 矯正治療125万円~ 歯周治療25万円 (全て税別) |
|
リスク |
リテーナー不使用による矯正治療の後戻り 治療終了後のメンテナンス不足による歯周病 歯ぎしりや過剰な噛み締めによるセラミックの破損 |