院内ブログBlog
院内ブログBlog

歳を重ねるごとに、すきっ歯と出っ歯がひどくなってきたので治したい。
診断名は正中離開・上顎前突・過蓋咬合です。
噛み合わせが加齢とともに深くなり、行き場を失った前歯が飛び出し、隙間ができました。また、下の前歯が内側(舌側)に倒れ込み、上の歯ぐきを突き刺さしていました。
しかし、最大の原因は成長期の下顎の成長不足や永久歯への生え変わり時期に下顎全ての歯が正常の位置より後ろに下がっていることです。(アングルの分類Ⅱ級1類)。
治療法は成人男性の硬い骨をしっかり動かすためにワイヤー矯正のデーモンシステムを選択。

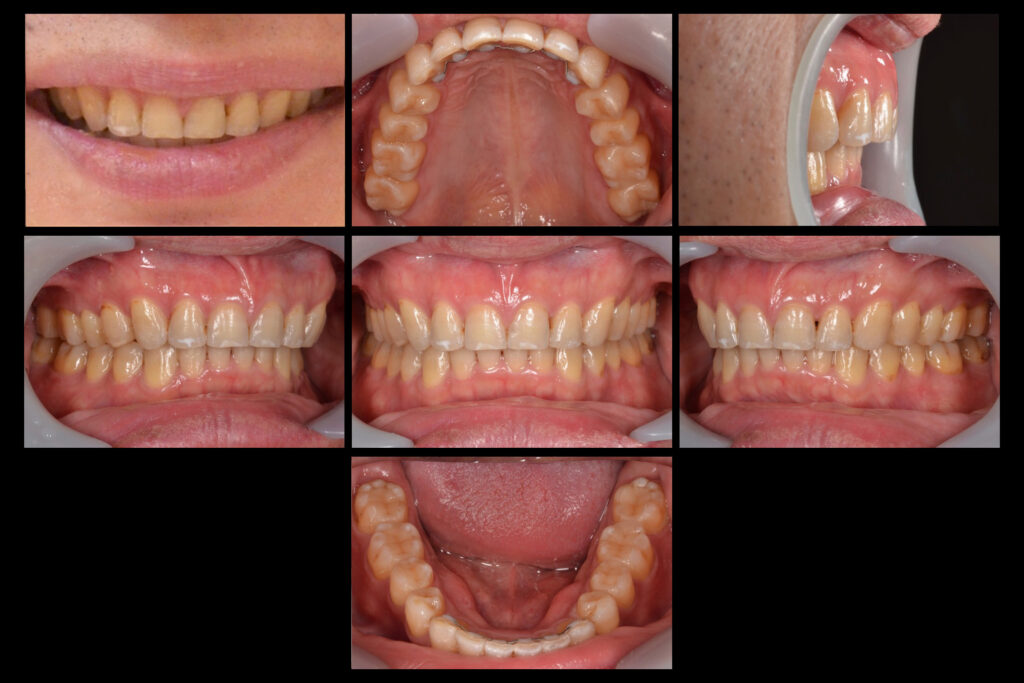
ワイヤー装着から半年後です。
すきっ歯は完全に塞がり、出っ歯もすっかり良くなりました。
ワイヤー矯正プラス矯正ゴムの効果により下顎の歯が正しい位置に収まり、下の前歯が正面から見える様になりました。

加齢で前歯が出たと思っていましたが、根本的には永久歯に生え変わった10代の頃からとは思いませんでした。今は友人から若くなったねとよく言われます。もっと早く自分の歯に興味を持てばよかった!
| 主訴 | すきっ歯・出っ歯を治したい |
| 診断名 | 正中離開・上顎前突・過蓋咬合(アングルの分類Ⅱ級1類) |
| 年齢 | 40代男性 |
| 治療方法 | ワイヤー矯正治療(デーモンシステム) |
| 抜歯部位 | 非抜歯 |
| 治療期間 | 1年1ヶ月 |
| 治療費 | 約125万円 |
| リスク 副作用 | リテーナーの不使用による矯正治療の後戻り |