院内ブログBlog
院内ブログBlog

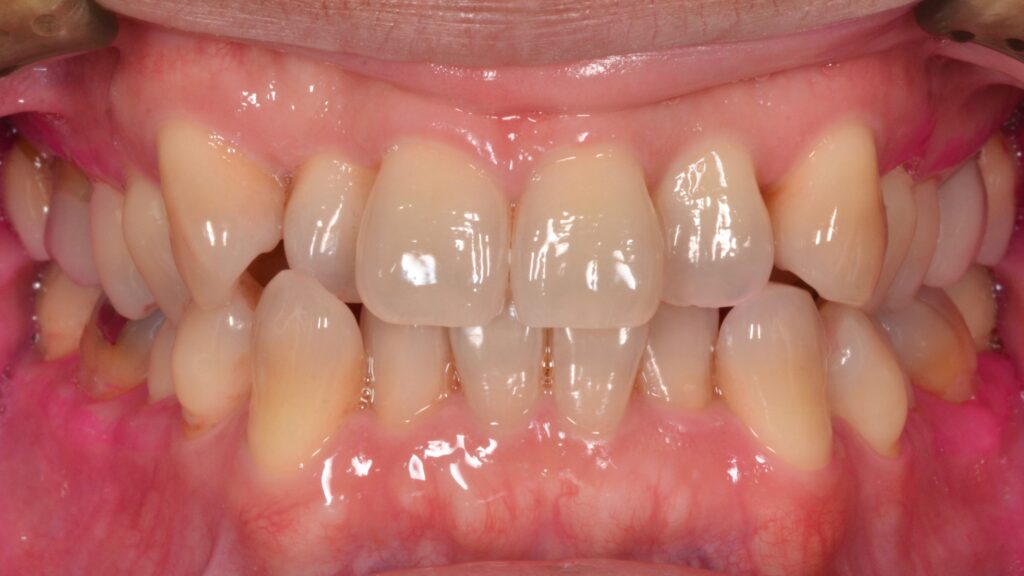
前歯の歯並びを治したい。
上下の歯が逆転して噛んでいる箇所があるので本来はマウスピースでは難しいのですが患者様の希望により前歯部のみの部分マウスピース矯正治療(インビザラインGoシステム)を選択しました。

50歳で矯正をやるとは思いもしなかったが、ガタガタしていた歯が徐々に綺麗に並んで行くところに感動した。今は感謝しかありません。
| 主訴 | 歯並びを治したい。費用を抑えたい。 |
| 診断名 | 叢生 |
| 年齢 | 50代男性 |
| 治療方法 | 部分マウスピース矯正治療(インビザラインGoシステム) |
| 抜歯部位 | 非抜歯 |
| 治療期間 | 1年 |
| 治療費 | 44万円 |
| リスク 副作用 | リテーナーの不使用による矯正治療の後戻り |