院内ブログBlog
院内ブログBlog

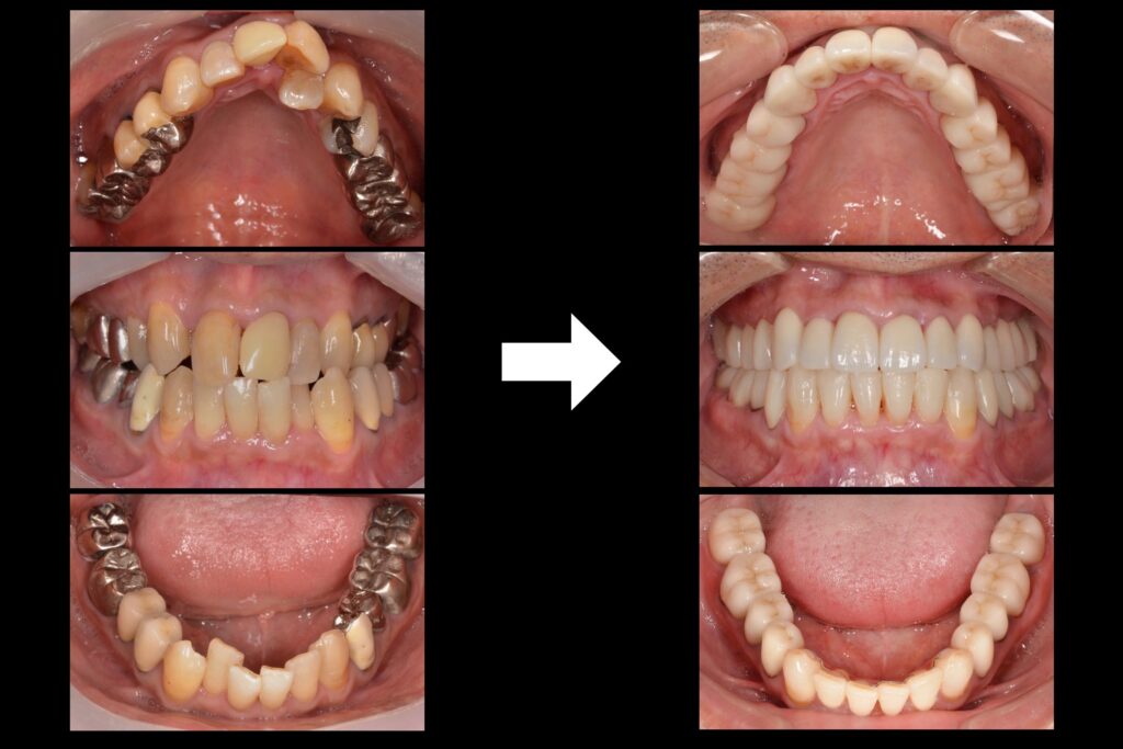
歯並びを治して綺麗な白い歯にしたい。
歯列がV字になっており噛み合わせが悪く、先ずは広げてU時に近づけます。また、歯の神経が無く変色してしまった歯や銀歯の下に虫歯が多く矯正後にセラミックで被せる治療を立てました。
矯正は成人男性の硬い骨をしっかり動かすためにワイヤー矯正のデーモンシステムを選択。
口の中が広くなり、食事や滑舌が良くなりました。顔の印象も10歳は若返ったと言われました。
| 主訴 | 歯並びを治したい。歯を白くしたい。 |
| 診断名 | 叢生 |
| 年齢 | 40代男性 |
| 治療方法 | ワイヤー矯正治療とセラミック治療 |
| 抜歯部位 | 非抜歯 |
| 治療期間 | 1年 |
| 治療費 | 矯正治療約125万円 セラミック治療20万円/1本 |
| リスク 副作用 | リテーナーの不使用による矯正治療の後戻り 治療終了後のメンテナンス不足による歯周病 歯ぎしりや過剰な噛み締めによるセラミックスの破折 |