院内ブログBlog

2025.07.30
八重歯を治したい。【ワイヤー矯正治療例】10代女性 o1789.20210510

矯正歯科|歯科治療例

主訴・術前

八重歯を治したい。

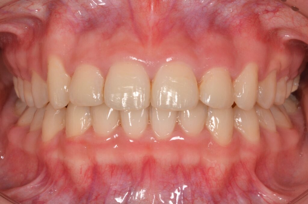
術前

診断の結果

犬歯の萠出位置が低く噛み合っていない状態です。
治療法は正確に素早く治療できるワイヤー矯正のデーモンシステムを選択。

下の写真は治療前にどこまで並ぶかシミュレーションしたものです。歯科技工士が個々の歯列に合わせて製作します。実際にお手に取っていただけます。

矯正診断模型

術後の患者様の感想

高校在学中に治って嬉しいです。一年間で治り友達より早く終わりました。

術後

治療情報

主訴 歯並びを治したい
診断名 叢生
年齢 10代女性
治療方法 ワイヤー矯正治療(デーモンシステム)
抜歯部位 非抜歯
治療期間・回数 1年・12回程度
治療費 約137万5千円(税込)
リスク
副作用
      
リテーナーの不使用による矯正治療の後戻り