院内ブログBlog
院内ブログBlog



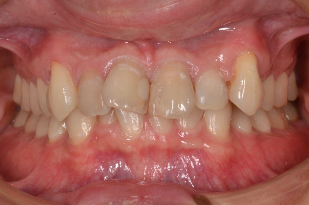
歯並びを治して歯を綺麗にしたい。
特に前歯に叢生が見受けられます。ワイヤー矯正であれば半年から一年で治療終了できそうですが、患者様のご要望でマウスピース治療となりました。
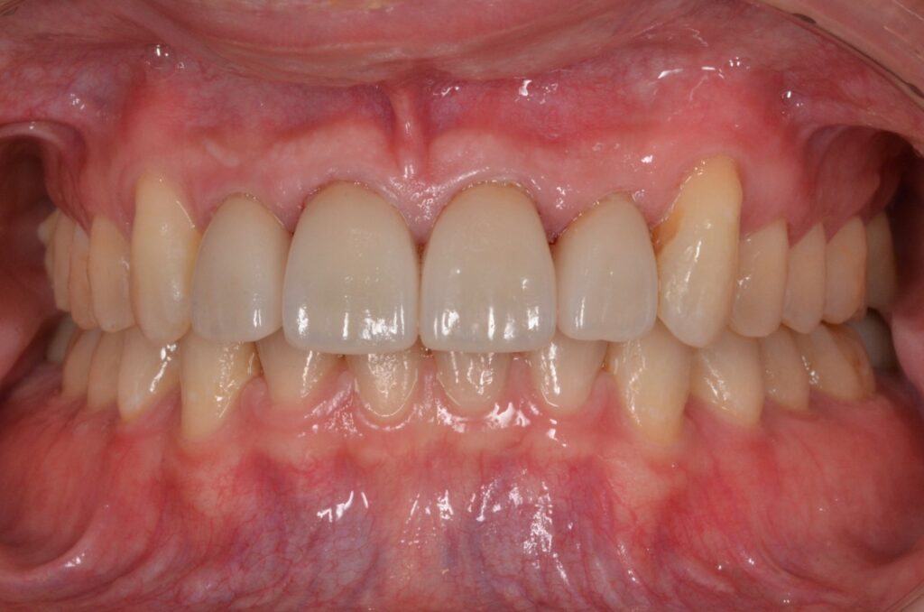
また、前歯4本は色も濃くプラスチックで補綴されていることもありセラミック治療となりました。



マウスピースでゆっくりと歯並びが治ったので、周りに気づかれずに済みました。治療後に以前の写真を見て驚きました。
| 主訴 | 歯並びを治して歯を綺麗にしたい |
| 診断名 | 叢生 |
| 年齢 | 40代男性 |
| 治療方法 | マウスピース矯正治療(インビザラインシステム) セラミック治療 |
| 抜歯部位 | 非抜歯 |
| 治療期間 | 2年 |
| 治療費 | マウスピース矯正治療 125万円 セラミック治療 20万円/1本 |
| リスク 副作用 | リテーナーの不使用による矯正治療の後戻り 治療終了後のメンテナンス不足による歯周病 歯ぎしりや過剰な噛み締めによるセラミックスの破折 |