03-3585-0081
WEB予約
無料メール相談
公式LINE
ホーム
治療メニュー
症例紹介
当院のご紹介
院長・スタッフ紹介
設備紹介
診療時間・アクセス
Menu
診療時間・アクセス
公式LINE
電話する
お問い合わせ
歯科治療例
医院案内
コンセプト・理念
ビジネスマンや経営者の方へ
モデル・芸能関係の方へ
アスリートの方へ
患者様へのおもてなし
院長・スタッフ紹介
院内紹介
設備紹介
院内技工
治療メニュー
インプラント
審美メニュー
-審美(エステティック)
-オールセラミック
-ヴィーナスベニア
-ホワイトニング
矯正歯科メニュー
-矯正歯科
-小児矯正
-成人矯正(ワイヤー矯正)
-マウスピース型矯正
-部分矯正
歯周病
オーダーメイド歯科
噛み合わせ
ボトックス
予防治療メニュー
-予防治療
-歯科ドック
-歯石取り・クリーニング
痛みの少ないレーザー
虫歯
口腔外科
小児歯科
料金表メニュー
費用・料金表
詰め物・被せ物
矯正歯科
インプラント
ホワイトニング
治療例
治療例一覧
インプラント
矯正歯科
審美歯科
採用情報
Recruit
症例集
Case
院内ブログ
Blog
サイトマップ
歯科治療例
Category
ホーム
>
歯科治療例
カテゴリ|全て
ブログTOPへ戻る
インプラント|歯科治療例
歯科衛生士の業務
お知らせ
歯科治療例
今週のお花
矯正歯科|歯科治療例
審美治療|歯科治療例
感染予防対策【コロナ等】
設備・機材
院内新聞
活動報告
メディア出演・掲載
コンシェルジュ日誌
歯科技工士の業務
2025.01.06
審美治療|歯科治療例
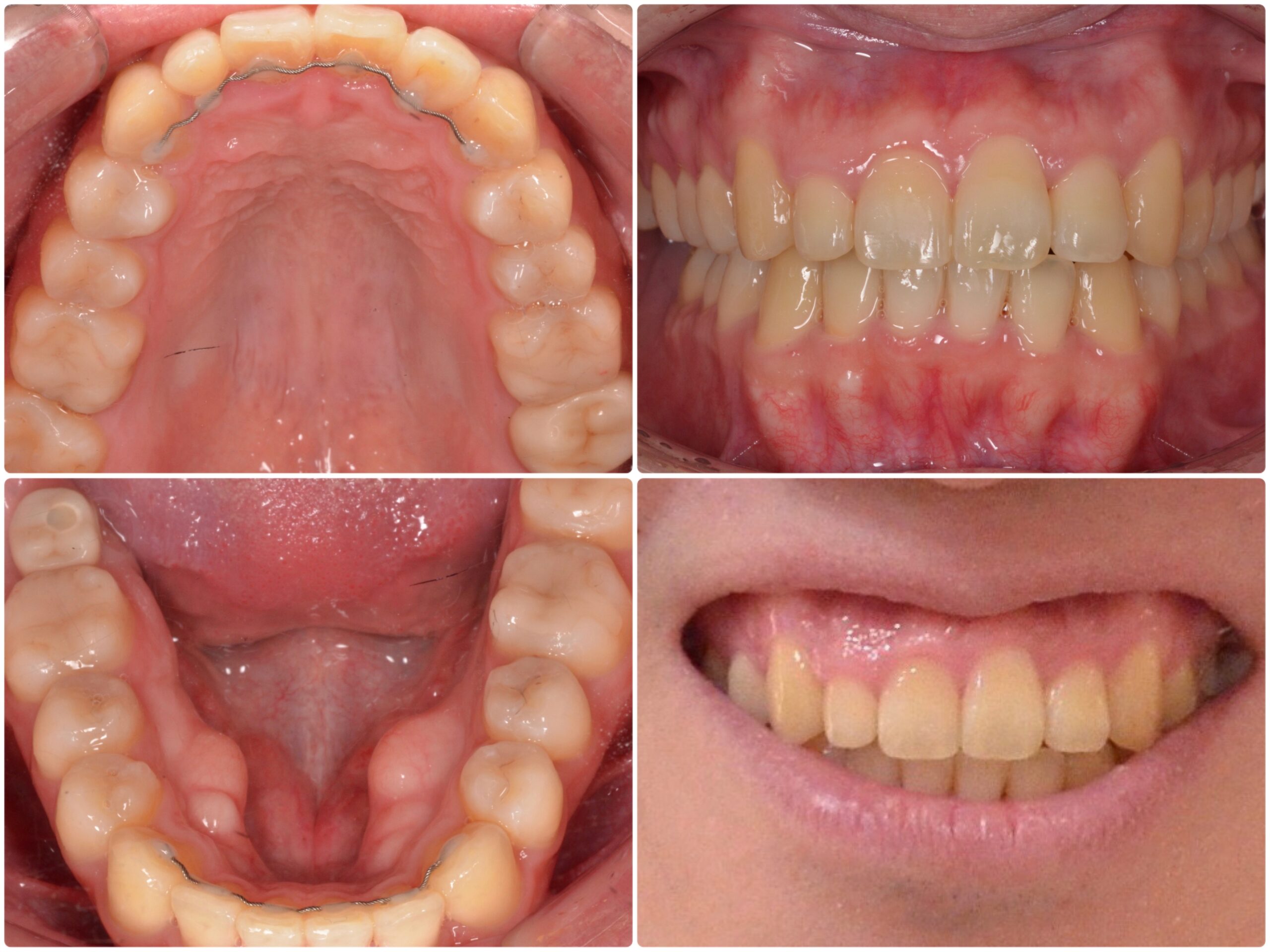
歯を綺麗にしたい。【ホワイトニング治療例】50代男性s1319.20191111
主訴 もともと歯の色が濃いので、綺麗な歯にしたい。 術後の患者様の感想 周りから歯をセラミックにした?と聞かれるくらい綺麗になり満足しています。また、私の場合は歯がしみる事がなかったので快適でした。 ホワイトニングについてはこちら↓ htt…
続きを読む
2024.12.27
矯正歯科|歯科治療例
出っ歯を治したい。【ワイヤー矯正治療例】20代女性 m1791.20210512
主訴・術前 出ている前歯を治したい。 診断の結果 上顎中切歯が前突しているのもありますが、下顎前歯の叢生や正中のズレがあります。治療法は、しっかり正確に動かすためにワイヤー矯正のデーモンシステムを選択。 術後の患者様の感想 口元が整って嬉し…
続きを読む
2024.12.20
矯正歯科|歯科治療例
歯並びを治したい。【ワイヤー矯正治療例】40代男性 i741.20160107
主訴・術前 歯並びを治したい。 診断の結果 叢生により凹凸があり着色や虫歯が多数あります。歯並びを改善することにより、舌が回りやすく歯磨きも格段にやりやすくなるでしょう。治療法は成人男性の硬い骨をしっかり動かすためにワイヤー矯正のデーモンシ…
続きを読む
2024.11.25
審美治療|歯科治療例
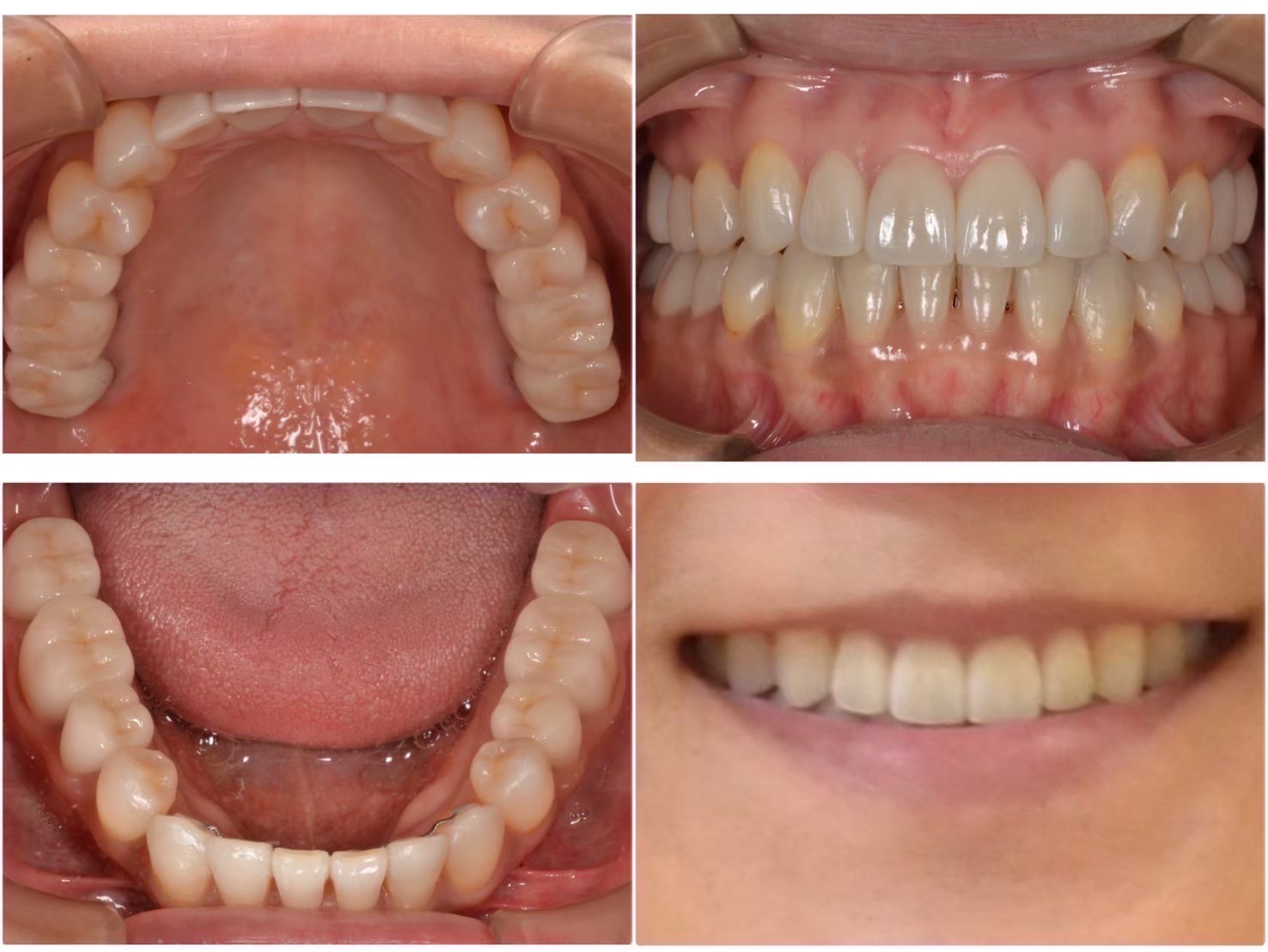
削れて尖った前歯を綺麗にしたい。【セラミック治療例】30代女性 a2229.2024426
術前・主訴 削れて、とがってしまった歯を綺麗に治したい。 術後・治療成果 歯の先端が摩耗して短くなり、形が崩れて前歯全体で見てもアンバランスになっていました。また、歯と歯の間は虫歯になっており、患者様の主訴を総合的に診断した結果、前歯のセラ…
続きを読む
2024.10.21
審美治療|歯科治療例
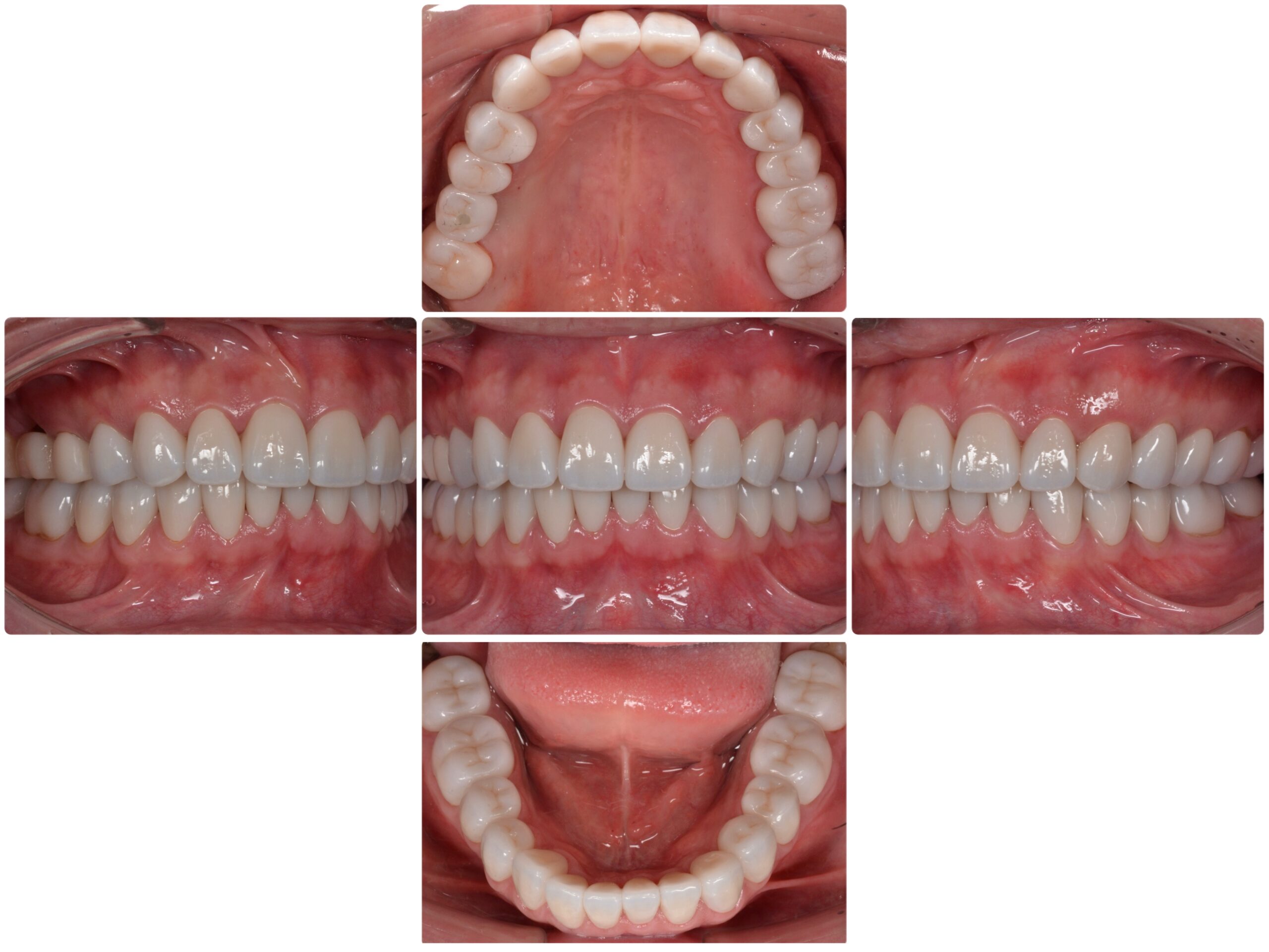
濃い歯の色を合わせた症例。【セラミック治療例】50代男性 d.20140310
主訴・術前 自分の歯に合った色で前歯をセラミックで治したい。 術後の患者様の感想 元々の歯の色で治したかったので、とても満足しています。 治療情報 主訴 自然な歯の色で治したい 診断名 審美障害 年齢 50代男性 治療方法 セラミック、ブリ…
続きを読む
4 / 16
«
前へ
...
2
3
4
5
6
...
10
...
次へ
»