03-3585-0081
WEB予約
無料メール相談
公式LINE
ホーム
治療メニュー
症例紹介
当院のご紹介
院長・スタッフ紹介
設備紹介
診療時間・アクセス
Menu
診療時間・アクセス
公式LINE
電話する
お問い合わせ
歯科治療例
医院案内
コンセプト・理念
ビジネスマンや経営者の方へ
モデル・芸能関係の方へ
アスリートの方へ
患者様へのおもてなし
院長・スタッフ紹介
院内紹介
設備紹介
院内技工
治療メニュー
インプラント
審美メニュー
-審美(エステティック)
-オールセラミック
-ヴィーナスベニア
-ホワイトニング
矯正歯科メニュー
-矯正歯科
-小児矯正
-成人矯正(ワイヤー矯正)
-マウスピース型矯正
-部分矯正
歯周病
オーダーメイド歯科
噛み合わせ
ボトックス
予防治療メニュー
-予防治療
-歯科ドック
-歯石取り・クリーニング
痛みの少ないレーザー
虫歯
口腔外科
小児歯科
料金表メニュー
費用・料金表
詰め物・被せ物
矯正歯科
インプラント
ホワイトニング
治療例
治療例一覧
インプラント
矯正歯科
審美歯科
採用情報
Recruit
症例集
Case
院内ブログ
Blog
サイトマップ
歯科治療例
Category
ホーム
>
歯科治療例
カテゴリ|全て
ブログTOPへ戻る
インプラント|歯科治療例
歯科衛生士の業務
お知らせ
歯科治療例
今週のお花
矯正歯科|歯科治療例
審美治療|歯科治療例
感染予防対策【コロナ等】
設備・機材
院内新聞
活動報告
メディア出演・掲載
コンシェルジュ日誌
歯科技工士の業務
2024.02.29
お知らせ
オールセラミック治療 2024.2.29
皆様こんにちは😊✨歯科衛生士の太田です! こちらの患者様は、顎の歪みを治して歯を綺麗にしたいとのことで、当院でオールセラミック治療を行いました。顎の歪みは、右上の前歯が一本先天的に欠損していることが原因でした。…
続きを読む
2024.02.27
お知らせ
噛み合わせが悪く食べ物が詰まりやすい 20代女性 2024.2.27
主訴・術前 噛み合わせが悪く食べ物が詰まりやすい 術後の患者様の感想 いつも丁寧に対応していただいています。親身になってくださる先生やスタッフの皆様のおかげで安心して治療することができます。 日程の調整が多くいつもご連絡させていただいている…
続きを読む
2024.02.20
インプラント|歯科治療例
前歯が腫れやすい 50代女性 2024.2.20
主訴・術前 前歯が腫れやすい 術後の患者様の感想 前歯が腫れやすいという相談で来院しました。 最終的に全体を治していただき、気になっていた歯並びや歯茎の腫れも治すことができたのでとても満足しています。 また、治療方針も院長先生が直々に教えて…
続きを読む
2024.02.19
お知らせ
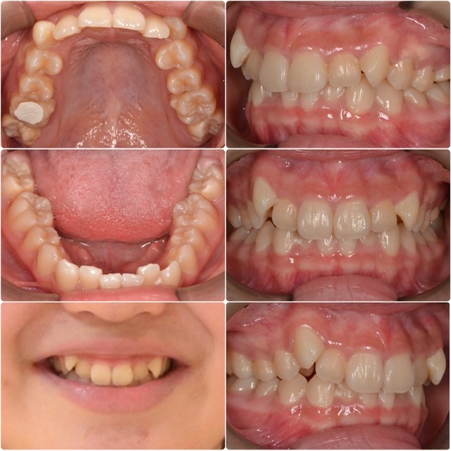
八重歯を治したい2024.2.19
皆様こんにちは🌷✨歯科衛生士の市川です! こちらの患者様は八重歯を治したいとの事でご来院頂きました。 来院前のお写真を見ると犬歯の萌出位置が低く噛み合っていない状態です。治療法は正確に素早くできるワイヤー矯正を…
続きを読む
2024.02.13
インプラント|歯科治療例
悪い所は短期間で治療を終了したい 40代女性全顎治療 2024.2.13
主訴・術前 悪い所は短期間で治療を終了したい 術後の患者様の感想 全体的に治療していただいたのにもかかわらず一年以内に治療が終了して驚きました。 歯周治療では歯の磨き方や道具の使い方など1から教えていただけたので今後も歯磨きを頑張ろうと思い…
続きを読む
6 / 16
«
前へ
...
4
5
6
7
8
...
次へ
»