院内ブログBlog
院内ブログBlog

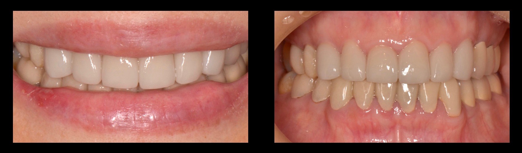
先日、他医院にて上顎のセラミックを装着したが、形が揃わず気に入らない。下の歯は仮歯のまま進まない。
セラミックスの不適合と噛み合わせ不良
前歯はお顔とのバランスを特に考慮し、仮歯にて患者様の理想を具体化する。
かみ合わせも仮歯で微調整を重ねて本歯は
オールセラミックスのヴィーナスクラウンで治療。

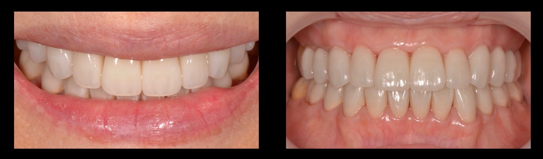
前歯のセラミックスが気に入らず、直ぐに外したいとのことで
仮歯を用意し入れ替えました。
仮歯を最終的な形のイメージにするために、調整を重ねて
ゴールデンプロポーションや歯牙のルールを駆使しながらも
患者様の意見を取り入れて本歯を製作しました。

以前の歯医者では言葉で伝わらなかったことが、
こちらの院長先生は理解してくれるので、本当に嬉しかった。
| 主訴 | 他院で治療した前歯の色や形に不満。 |
| 診断名 | 審美障害・咬合障害 |
| 年齢 | 60代女性 |
| 治療方法 | セラミック治療 |
| 抜歯部位 | 非抜歯 |
| 治療期間 | 1ヶ月 |
| 治療費 | 20万円/1本 |
| リスク 副作用 | 治療終了後のメンテナンス不足による歯周病 歯ぎしりや過剰な噛み締めによるセラミックスの破折 |