院内ブログBlog

2022.05.02
大きく変えた歯科治療。【かみ合わせ・セラミック治療例】50代女性 s621.2015122

審美治療|歯科治療例

術前・主訴

大きく変えた歯科治療
術前

顎が痛い。詰め物が取れた。
他院で治した前歯が長い気がする。

診断の結果

顎の痛みや詰め物が外れたのは、歯列の歪みや噛み合わせの深さが原因と思われます。
また、前歯の長さは女性の平均値10.2mmのところ、11.0mm以上ありました。
長過ぎる歯は顎の負担になりますし、笑顔のときに口元が詰まって見えてしまいます。

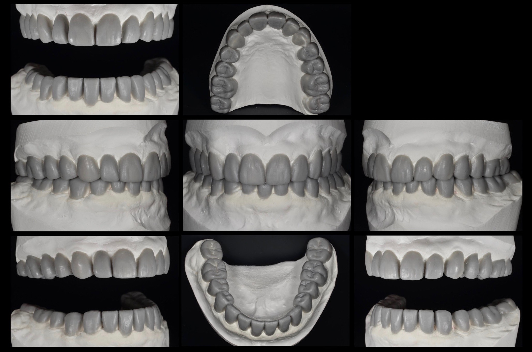
歯型から最終形をシミュレーション

診断用ワックスアップ

治療計画を練る上で、歯型を模型にして噛み合わせの器械(咬合器)上に患者様の状態を再現します。レントゲンやCT、写真を参考にし歯科用ワックスで治療のゴールをシミュレーションします。

全顎的機能から審美修復まで網羅するドーソン診断と
理想的な口腔を具現化した模型分析の結果、下顎の歪みを取り去り、噛み合わせを4.0mm挙上し、
且つ前歯は笑顔時の口唇位置を参考にしつつ平均値10.2mmに設定しました。
同時に不良補綴物の除去と虫歯の治療も行います。

ホワイトニング色のセラミック

FW5 FW2 天然歯では難しいホワイトニング色
B1 A1 ホワイトニング色
A2 生えたての一般的にキレイな歯
 A3 生えたての一般的な歯
A3.5 A4 A5 濃い歯とても濃い歯

患者様は一番白い歯をご要望になられました。透明感を与えることで自然感を出し、口元から浮かないように調整しました。

術後・患者様の感想

術後
術後

長年の悩みだった顎の痛みが無くなり、肩も軽くなりました。
前歯は仮歯で調整した物と同じ長さにしていただき、
ホワイトニング色を選んだので色も形も気に入っています。
私の中では、人生が変わる治療でした。

治療情報

主訴 顎の痛み・前歯の長さ
診断名 過剰咬合・不正咬合
年齢 50代女性
治療方法 セラミック治療・かみ合わせ治療
抜歯部位 非抜歯
治療期間 3ヶ月
治療費 20万円/1本(税別)
リスク
副作用
      
治療終了後のメンテナンス不足による歯周病
歯ぎしりや過剰な噛み締めによるセラミックスの破折や歯の根の再治療