院内ブログBlog

2022.05.16
全身の健康と歯科治療。【かみ合わせ・セラミック治療例】30代女性 s1227.2018926

審美治療|歯科治療例

術前・主訴

虫歯が痛い。
銀歯を白くしたい。
前歯を綺麗にしたい。

診断の結果

銀歯の下に虫歯が多数、根の再治療、歯列・噛み合わせの改善のために補綴治療が必要です。患者様のご要望にもありますが、銀歯は見た目の悪さ以外にも、お口の中の金属が溶け出してアレルギー反応を示したり
身体のだるさや体調不良の原因になります。
さらに、銀歯と歯の境目から二次的な虫歯が発生することが多く見受けられます。
また、前歯は歯の色だけではなく歯の出具合、歯茎の出具合を調整する必要があります。
それには、歯牙を土台にする時に歯軸を変更し歯茎を押し下げます。

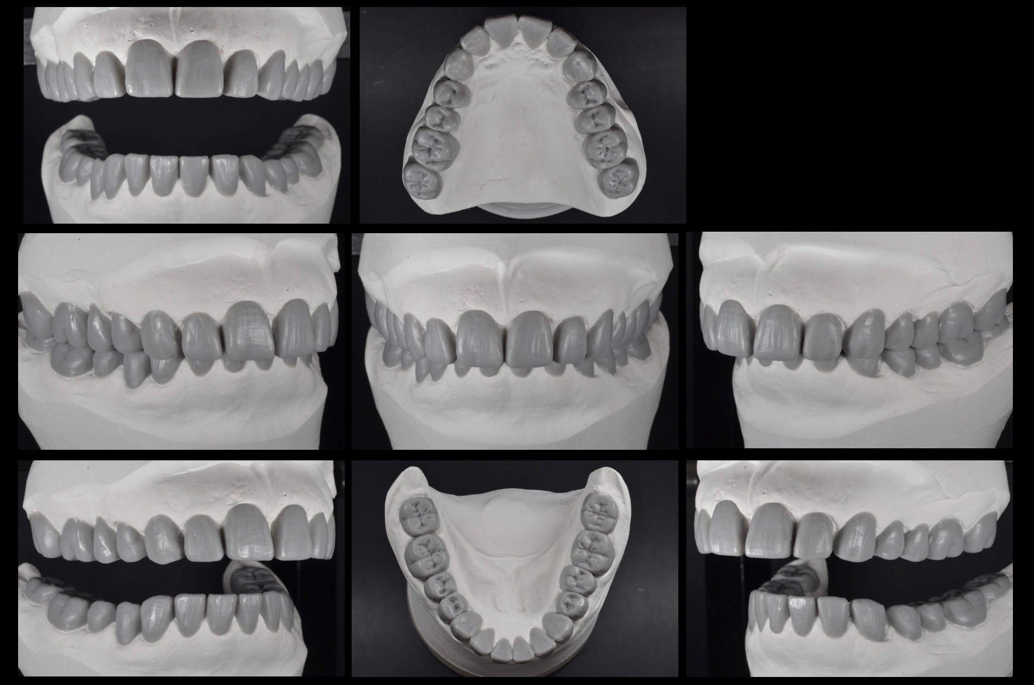
歯型から最終形をシミュレーション

治療計画を練る上で、歯型を模型にして噛み合わせの器械(咬合器)上に患者様の状態を再現します。レントゲンやCT、写真を参考にし歯科用ワックスで治療のゴールをシミュレーションします。                

術後・患者様の感想

前歯の出具合は他の歯科医院では
外科で骨を削らないと治らないと言われましたが、
通常の治療のみで、こんなにも綺麗になり本当に嬉しいです。
人前で自信を持って笑えます。
それと嫌な匂いがなくなったり、銀歯を外して仮歯になった頃から身体が軽く肌も綺麗になった気がします。
これからは、昔のようにならないようにシッカリ予防していきたいと思います。

治療情報

主訴虫歯が痛い。
銀歯を白くしたい。
前歯を綺麗にしたい。
診断名う蝕・不正咬合
年齢30代女性
治療方法セラミック治療・かみ合わせ治療
抜歯部位非抜歯
治療期間3ヶ月
治療費20万円/1本
リスク
副作用
      
治療終了後のメンテナンス不足による歯周病
歯ぎしりや過剰な噛み締めによるセラミックスの破折や歯の根の再治療