院内ブログBlog
院内ブログBlog


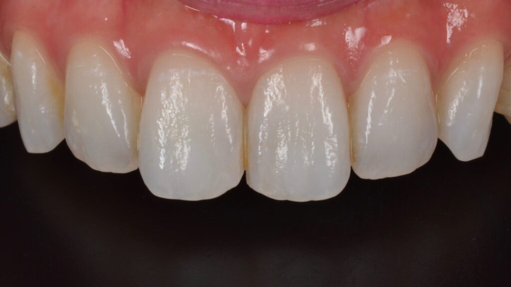
自分の前歯が細長くてコンプレックスを感じる。すぐにでも治したい。
確かに患者様の前歯(上顎中切歯)は女性の平均値に比べて細長く、
患者様の歯(上顎中切歯) 長さ10.8mm 幅7.8mm
女性の平均(上顎中切歯) 長さ10.2mm 幅8.2mm
と、計測結果を見ても明らかでした。少々の調整であれば歯科医師が形態修正で調整して終わりますが、幅が足りず患者様の強いご要望があり前歯2本をセラミックで被せることになりました。

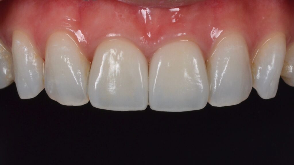
患者様より、透明感があり差し歯と気づかれない歯にしてほしいとご要望がありましたので院内技工士が色合わせ用に模型を製作したところです。セラミックを作る際に目の錯覚を極力抑えます。


自分の前歯を短く削っただけだとバランスが悪い気がしましたが、とてもキレイなセラミックを被せてもらって大満足です!
本来は天然の歯牙で一生過ごせるのがベストですが、自身のコンプレックスであるならば被せものにするのも有りだと思います。歯牙を削る際も強くて接着性の良い歯質のエナメル質内で調整しました。
最後に歯の長さは当初、0.5mmほど長く設定しておりましたが、患者様のご要望で装着後調整しました。
| 主訴 | 自分の前歯が長い。 |
| 診断名 | 審美障害 |
| 年齢 | 20代女性 |
| 治療方法 | セラミック治療 |
| 抜歯部位 | 非抜歯 |
| 治療期間 | 1ヶ月 |
| 治療費 | 20万円/1本 |
| リスク 副作用 | 治療終了後のメンテナンス不足による歯周病 歯ぎしりや過剰な噛み締めによるセラミックスの破折 |