院内ブログBlog
院内ブログBlog

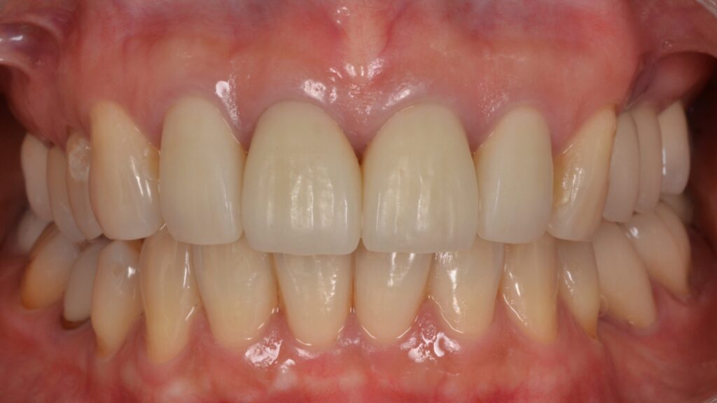
以前他院で治したセラミックに艶がないので治したい。
当初はセラミック用の研磨剤で磨いてみましたが、患者様の満足のいくところまでは光らず、当院でセラミックを入れ替えることとなりました。


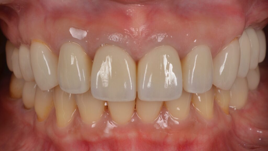
患者様のご要望で仕事がら、顔のイメージが変わることの無いようにしてほしい。とのことで模型上で少しづつ足したり引いたりしながら最終形を決めました。
患者様のご要望で仕事がら、顔のイメージが変わることの無いようにしてほしい。とのことで模型上で少しづつ足したり引いたりしながら最終形を決めました。

ツヤや透明感があり満足しています。形も以前のものと比べながら作ってくださったので安心してお願いできました。
形は女性にしては四角いですが、仕事上の制約もあり以前のものを参考に治療することができました。
また、以前のセラミックもご自身の歯を参考に治されたとのことでした。歯はお顔のイメージを大きく変えますので、生まれ持った個性を大事にするのも良いことだと思います。
| 主訴 | セラミックを治したい。 |
| 診断名 | 審美障害 |
| 年齢 | 40代女性 |
| 治療方法 | セラミック治療 |
| 抜歯部位 | 非抜歯 |
| 治療期間 | 2ヶ月 |
| 治療費 | 20万円/1本 |
| リスク 副作用 | 治療終了後のメンテナンス不足による歯周病 歯ぎしりや過剰な噛み締めによるセラミックスの破折 |