院内ブログBlog
院内ブログBlog


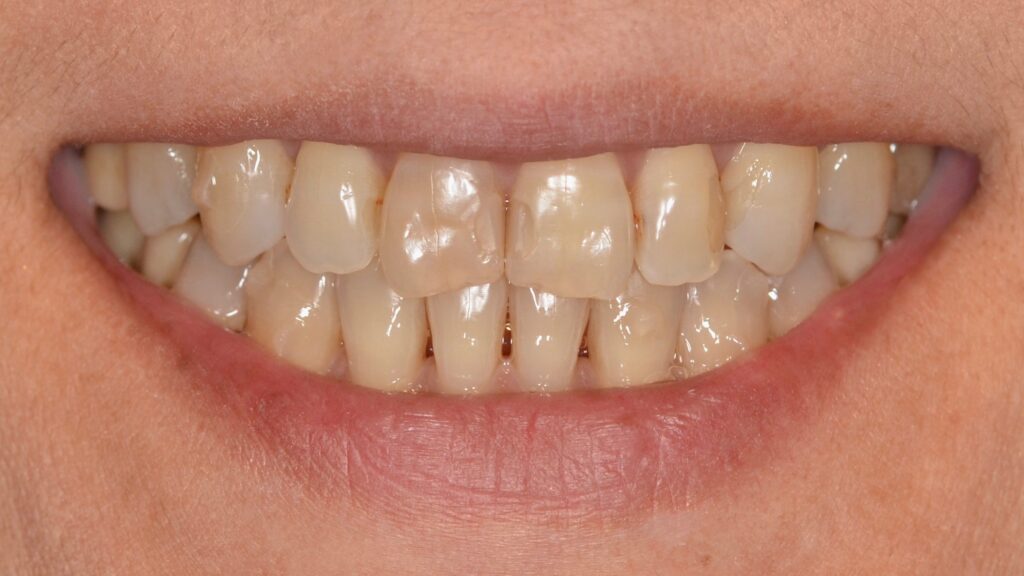
前歯を昔のように白く若返らせたい。
年を重ねるごとに歯は褐色に変化していきます。それは着色などの外的要因だけでなく生理現象の一つです。
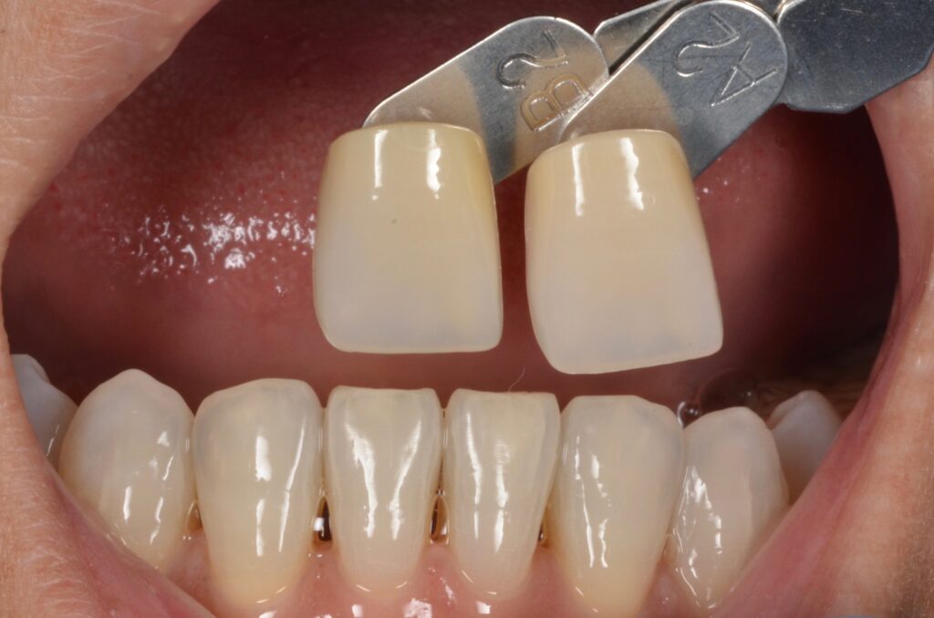
まずはホワイトニングを行います。当院では希望のお色になるまで行うことができます。

当院のオフィスホワイトニングと歯型から製作したマウスピースを使用したホームホワイトニングの複合治療により劇的に白く変化しました。
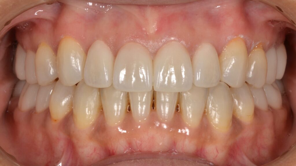
ただし上顎の前歯は4本は虫歯をCR(歯科用プラスチック)で治療した箇所が多くセラミックで被せることになりました。


20代よりも今のほうが綺麗な気が致します。歯の形も以前より整えて頂いたので本当に満足しています。
| 主訴 | 歯を若返らせたい。 |
| 診断名 | 審美障害 |
| 年齢 | 50代女性 |
| 治療方法 | ホワイトニング治療とセラミック治療 |
| 抜歯部位 | 非抜歯 |
| 治療期間 | 1ヶ月 |
| 治療費 | 20万円/1本(税別) 60,000円/上下ホワイトニング(税別) |
| リスク 副作用 | 治療終了後のメンテナンス不足による歯周病 歯ぎしりや過剰な噛み締めによるセラミックスの破折 |