院内ブログBlog
院内ブログBlog


歯が痛い。歯並びを治したい。
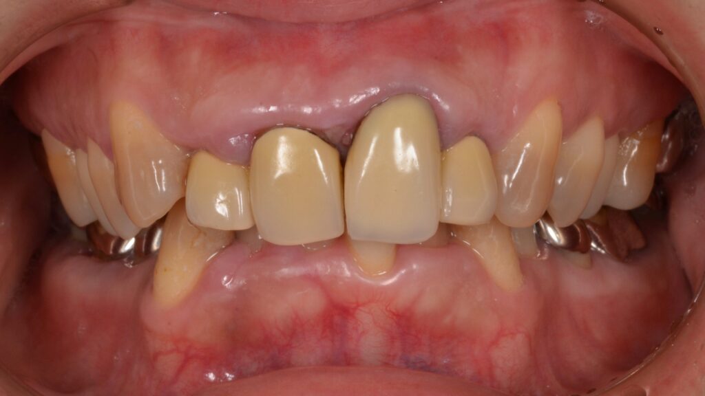
昔から自分の前歯が気になっていた。
まず、虫歯は治療した箇所の中に出来る2次う蝕でした。特に銀歯は隙間が開きやすく、そこから唾液にのって虫歯菌が侵入し銀歯の下に大きな虫歯を形成します。
また、前歯は凹凸し、かみ合わせが深くなっています。
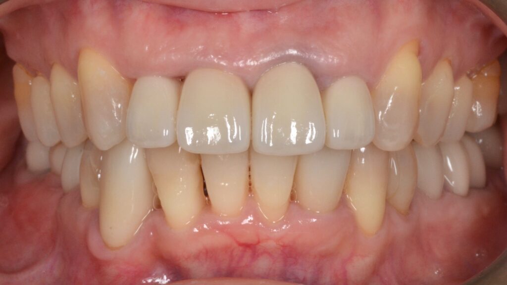
治療順序は虫歯治療を行いつつ、矯正治療で歯が揃うスペースを確保して、最後にセラミックで被せます。なるべく残せる歯は残して、どうしても難しい歯はインプラント治療で補います。


ワイヤー矯正の方が早いとのことでしたが、どうしてもマウスピース矯正にしたくてお願いしました。期間は掛かりましたが、とても満足しています。
| 主訴 | 虫歯と歯並びを治したい |
| 診断名 | 2次う蝕・不正咬合 |
| 年齢 | 50代女性 |
| 治療方法 | セラミック治療・矯正治療・インプラント治療 |
| 抜歯部位 | |
| 治療期間 | 3年 |
| 治療費 | マウスピース矯正治療 125万円 インプラント治療 50万円/1本 セラミック治療 20万円/1本 |
| リスク 副作用 | 治療終了後のメンテナンス不足による歯周病 歯ぎしりや過剰な噛み締めによるセラミックスの破折や歯の根の再治療 リテーナーの不使用による矯正治療の後戻り |