院内ブログBlog

2024.10.21
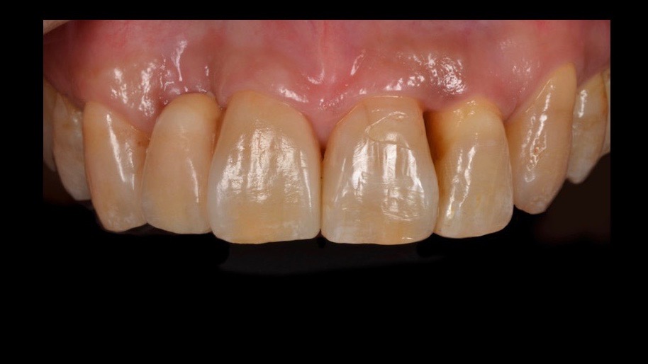
濃い歯の色を合わせた症例。【セラミック治療例】50代男性 d.20140310

審美治療|歯科治療例

主訴・術前

自分の歯に合った色で前歯をセラミックで治したい。

術後の患者様の感想

元々の歯の色で治したかったので、とても満足しています。

治療情報

主訴自然な歯の色で治したい
診断名審美障害
年齢50代男性
治療方法セラミック、ブリッジタイプ
抜歯部位非抜歯
治療期間1ヶ月
治療費60万円(税別)
リスク
副作用
治療終了後のメンテナンス不足による歯周病
歯ぎしりや過剰な噛み締めによるセラミックスの破折や歯の根の再治療