院内ブログBlog
院内ブログBlog

昔と比べて歯が短くなって上手く噛めず顎が痛い。顔が潰れて見える。
若年代より歯牙が潰れてかみ合わせが低くなり、それに伴い顎の関節に負荷がかかっています。早急にかみ合わせを挙げる必要があります。


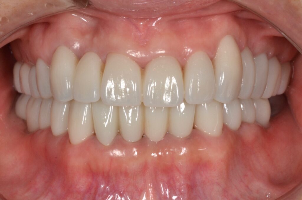
かみ合わせを挙げることで顎関節の負荷を和らげ、咬筋が作用しやすい高さになりました。顔貌はくっしゃっと潰れて見えたアゴ周りがスッキリと若々しく戻すことが出来ました。
傷んだ歯牙が多くありましたが、抜歯部位はインプラントで補綴し写真上でも分からないくらい歯茎が安定しています。
| 主訴 | 噛めない。顎が痛い。 |
| 診断名 | 審美障害 過蓋咬合 |
| 年齢 | 50代女性 |
| 治療方法 | セラミック治療 インプラント治療 |
| 抜歯部位 | 右上2 左上4 右下67 左下67 |
| 治療期間 | 1年 |
| 治療費 | インプラント治療 50万円/1本 セラミック治療 20万円/1本 歯周治療 23万円(税別) |
| リスク 副作用 | 治療終了後のメンテナンス不足による歯周病 歯ぎしりや過剰な噛み締めによるセラミックスの破折 |