院内ブログBlog
院内ブログBlog
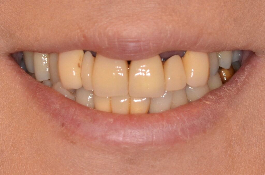
上の細長い前歯と下の前歯のブリッジを白くて綺麗な歯に治したい。
奥歯もかみ合わせが悪く被せものをやりなおしたい。


細長い前歯は、すでに被せもので補綴されており、部分的に歯の根のみが残っていました。
また、奥歯はかみ合わせが悪く被せものが脱離しておりました。特に下顎の歯が水平的に凹凸があり改善の必要があります。
矯正治療も提案しましたが、ご本人の希望で期間を短くセラミックス治療で行います。


笑った時に見える歯が細く小さいのがコンプレックスでしたが矯正治療を行わずにバランスのとれた憧れの白い歯になり感動しました!今、ホワイトニングを頑張っています!
また、院長先生がとても丁寧で優しく接してくださったので安心して通うことが出来ました。
| 主訴 | 前歯を綺麗にしたい・かみ合わせ不良 |
| 診断名 | 審美障害・不正咬合 |
| 年齢 | 50代女性 |
| 治療方法 | セラミック治療 |
| 抜歯部位 | 左上2番の残根 |
| 治療期間 | 2ヶ月 |
| 治療費 | 20万円/1本 |
| リスク 副作用 | 治療終了後のメンテナンス不足による歯周病 歯ぎしりや過剰な噛み締めによるセラミックスの破折や歯の根の再治療 |