院内ブログBlog
院内ブログBlog
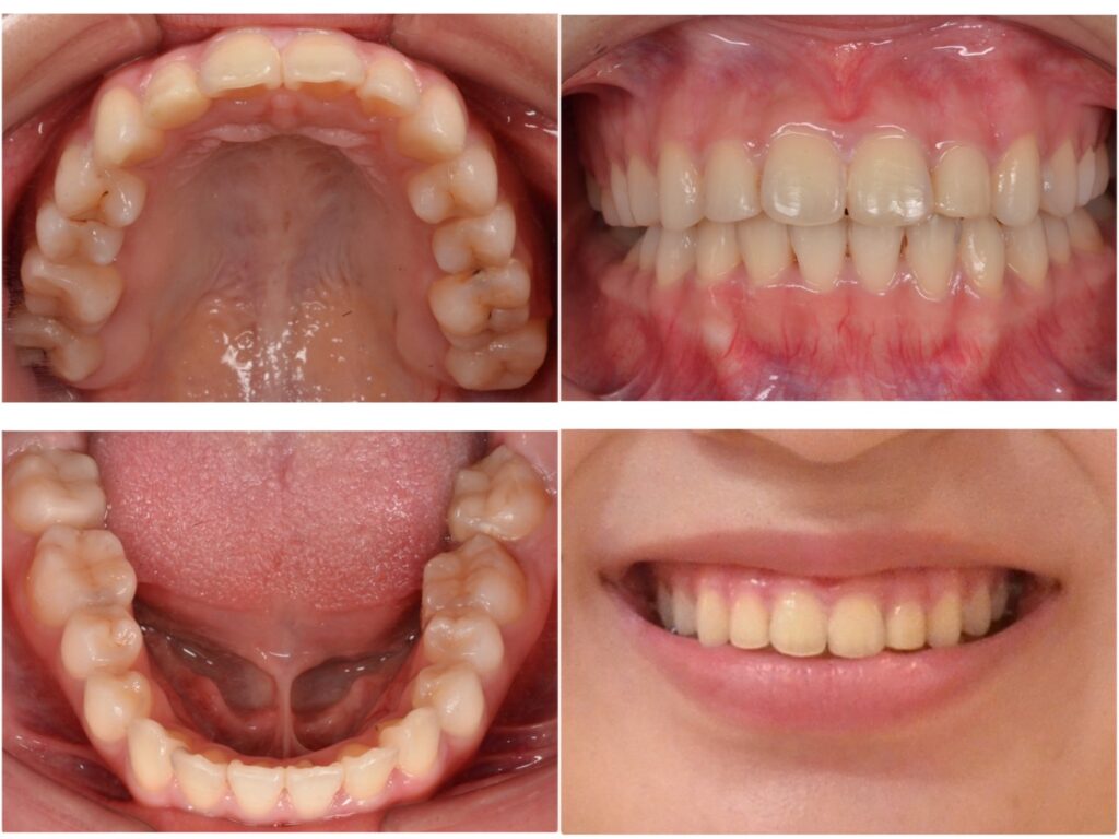
主訴・術前
歯並びが気になる

術後の患者様の感想
歯並びの他にも気になるところがありましたが、院長先生が親身になって聞いて下さり矯正の他にも治したいところが治せたので良かったです。
治療を進めるうえで行った方がいい順番で行っていただきその理由等もお話ししながらやっていただけるので安心しました。

治療情報
| 主訴 | 歯並びが気になる |
| 診断名 | 叢生 |
| 年齢 | 20代女性 |
| 治療方法 | セラミック治療 ワイヤー矯正治療 ホワイトニング |
| 抜歯部位 | 非抜歯 |
| 治療期間 | 1年6ヶ月 |
| 治療費 | セラミック治療 20万/1本 ワイヤー矯正 125万円 ホワイトニング 6万円 |
| リスク 副作用 | 歯ぎしりや過剰な噛み締めによるセラミックの破損 リテーナー不使用による矯正治療の後戻り |