院内ブログBlog
院内ブログBlog
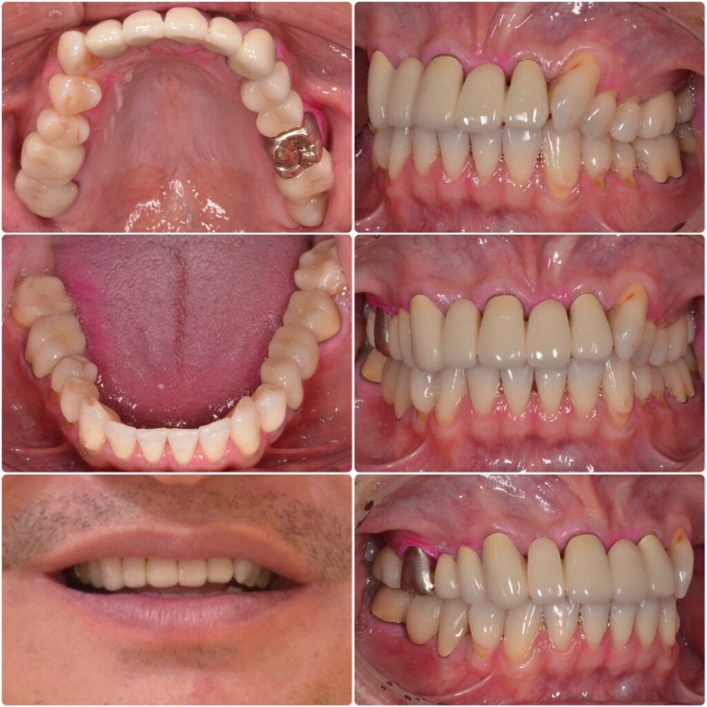
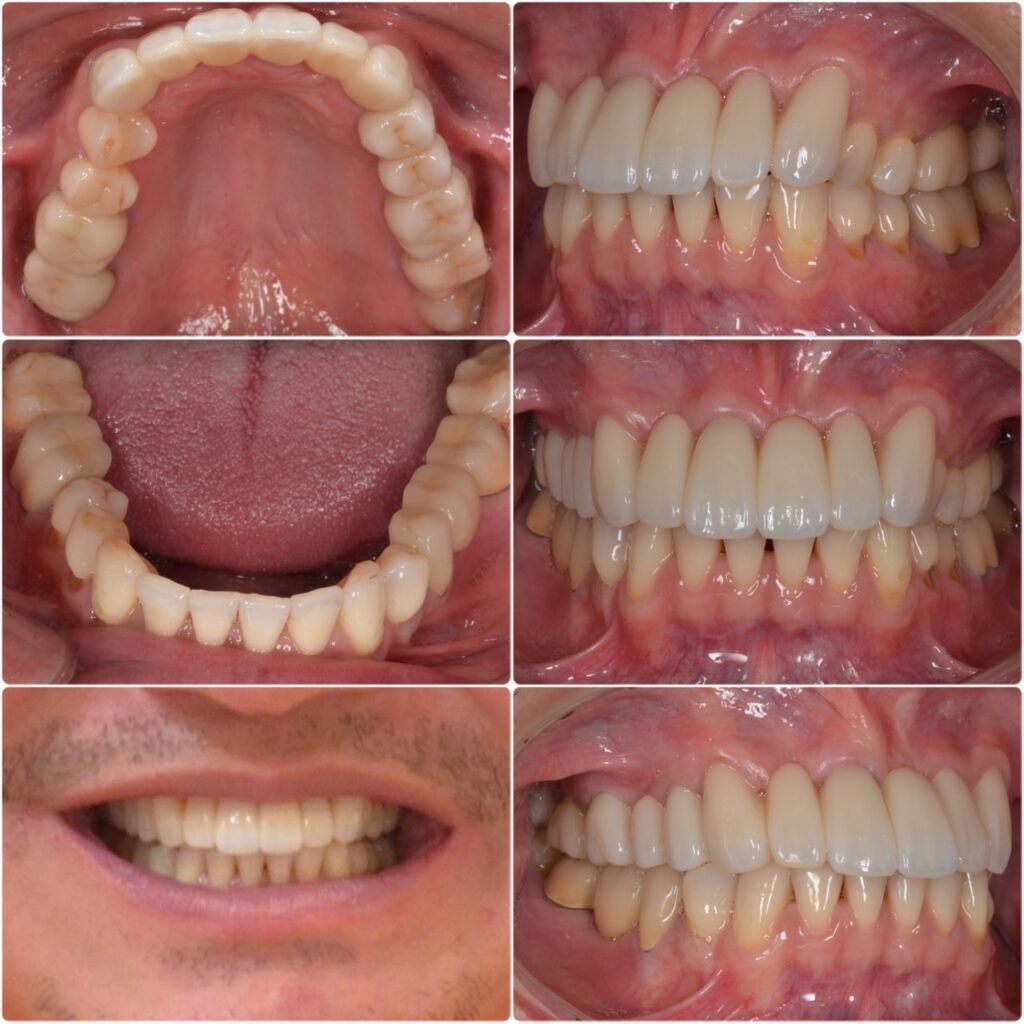
主訴・術前
歯を綺麗にしたい

術後の患者様の感想
気になっていたところがすべて治ったので良かったです。
自分の気になるところと先生がやった方がいいと思うところと様々な意見が聞けたので勉強にもなりました。
また、定期健診も通っているので今後もしっかり歯磨きを頑張ろうと思います。

治療情報
| 主訴 | 歯を綺麗にしたい |
| 診断名 | 審美障害 |
| 年齢 | 40代男性 |
| 治療方法 | セラミック治療 ホワイトニング 歯周治療 |
| 抜歯部位 | 非抜歯 |
| 治療期間 | 2年 |
| 治療費 | セラミック治療 20万円/1本 ホワイトニング 6万円 歯周治療 23万円 |
| リスク 副作用 | 歯ぎしりや過剰な噛み締めによるセラミックの破損 |