院内ブログBlog
院内ブログBlog
皆様こんにちは🌷✨
歯科衛生士の市川です!
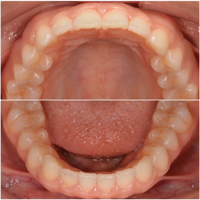
写真の症例は費用を抑えて歯並びを治したいとの事でご来院頂きました。
特に上の前歯に、ねじれ(捻転)がありました。この状態は見た目を損なうだけでなく加齢と共に偏摩耗の原因となります。下顎と合わせて改善していきました。また、費用を抑えたいとの事でしたので前歯部のみのマウスピース矯正を行いました。とても歯並びが綺麗になり、治療期間も半年で終了したのでもっと早く治療費しておけば良かったというお声を頂きました!
費用を抑えて歯並びを改善したい方、前歯の歪みが気になる方いらっしゃいましたら患者様に合わせて治療計画を立てさせて頂きますのでお声掛け下さいませ😌
担当:市川

