院内ブログBlog

2024.01.19
デーモンシステムについて 2024.1.19

お知らせ

皆様こんにちは😌✨
歯科衛生士の太田です。

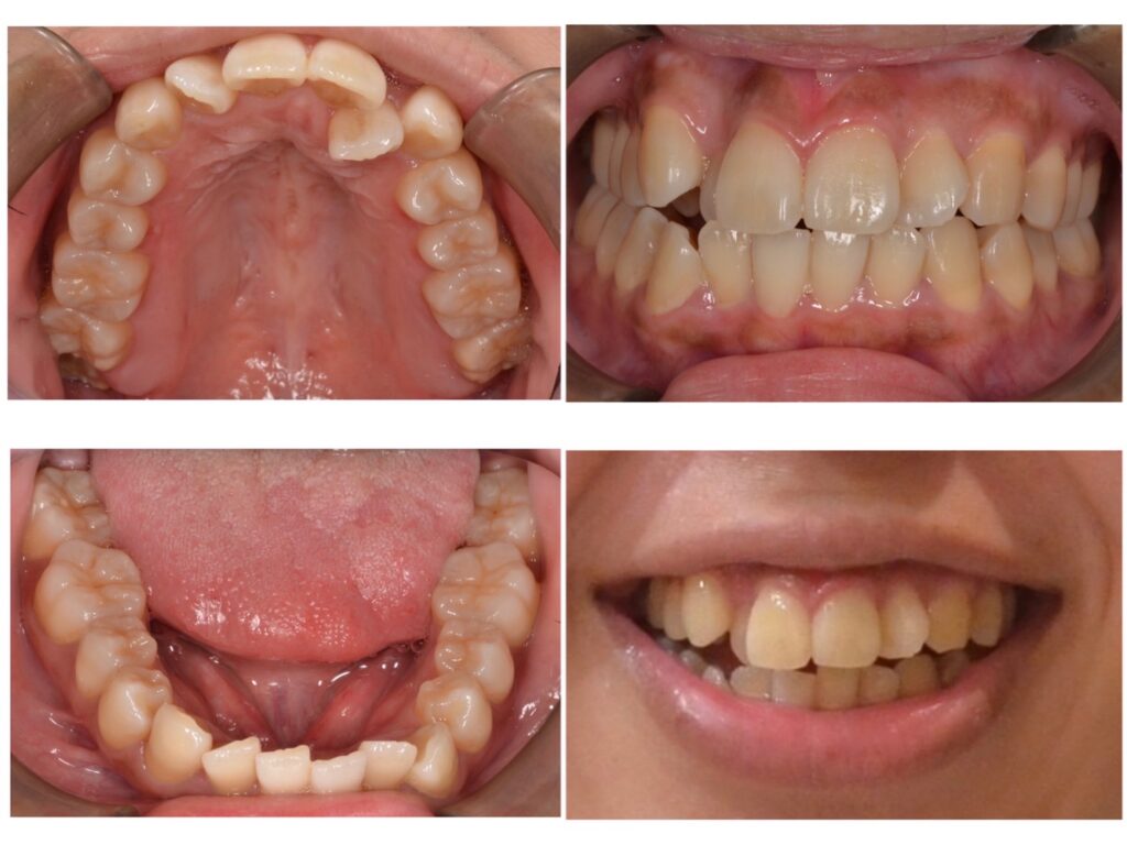
こちらの患者様は、歯並びを治したいとの事で当院で矯正治療を行いました。

本日は、当院の矯正治療(ワイヤー矯正)で採用している「デーモンシステム」についてお話しいたします。

デーモンシステムの特徴として、
①治療中の痛みが少ない
優しい力で自然に歯を移動させる新しい矯正方法により、痛みがなく、極力抜歯をしない矯正を行うことができます。

②治療期間•通院回数の短縮
細い形状記憶合金が元に戻ろうとするしなやかな力を利用するため、血流を滞らせることなく、以前より3割ほどスピーディーに治療を終えることが出来ます。

③歯の周辺組織にも優しい
歯だけでなく、歯茎や骨、顎の関節に優しい矯正装置です。また、歯並びだけでなく、顔面周辺筋やお顔立ちにも配慮した方法です。

また、前歯には着色しにくく透明度の高いクリア装置が装着されますので、目立ちにくい治療を行うことができます。

当院の矯正治療は、従来の矯正治療よりもより良い長所が沢山ありますので、矯正治療をご検討の方は一度ご来院ください😊
また無料矯正相談も行っておりますので、お話だけ聞きたいとお考えの方も是非お待ちしております⭐️🎶

担当:太田