院内ブログBlog
院内ブログBlog
皆様こんにちは🌷✨
歯科衛生士の市川です!
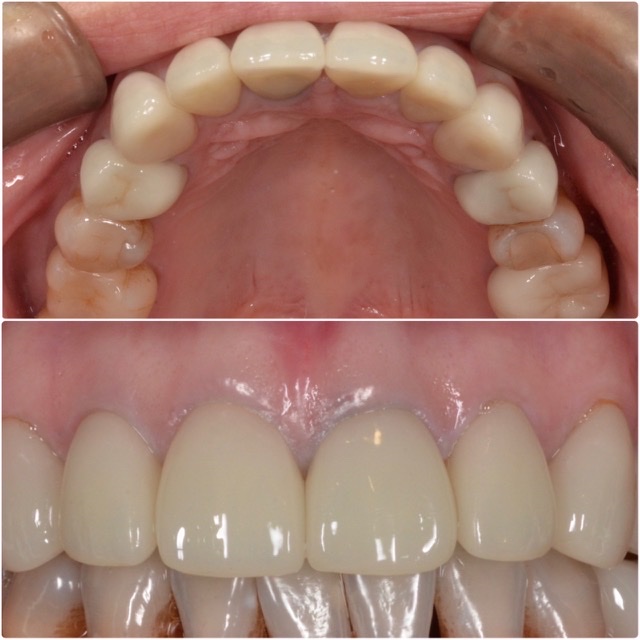
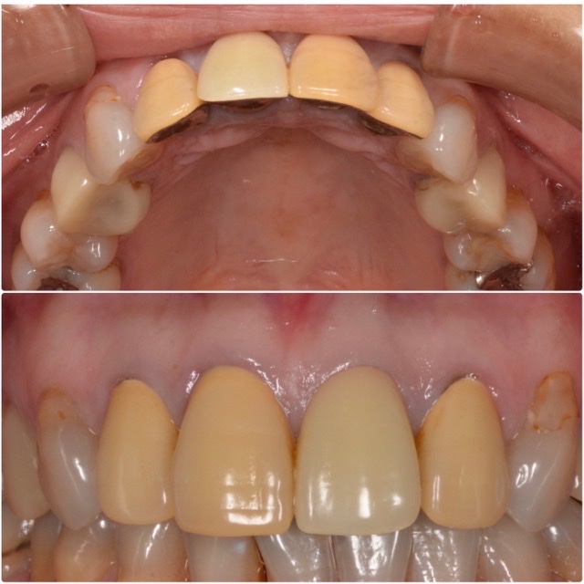
こちらの患者様は前歯の治療後の箇所が違和感があり、色も気になるとの事でご来院頂きました。
まずこの患者様は根本的に歯周治療を行い、歯茎を引き締めてから前歯の治療を行いました。
前歯も土台から院長先生が丁寧に整え、まず仮歯をつけて患者様の意見を聞きながら本歯セットに向けて準備を行いました。そして、患者様に納得して頂けましたら本歯をセットしていきます。
当院は院内技工を行なっているため患者様のご意見を直接、技工士に伝える事が出来ますので何かございましたらお気軽にお声掛けくださいませ😌✨
担当:市川

