院内ブログBlog

2024.04.04
当院のホワイトニングプラン 2024.4.4

お知らせ

皆様こんにちは😌✨
歯科衛生士の太田です!

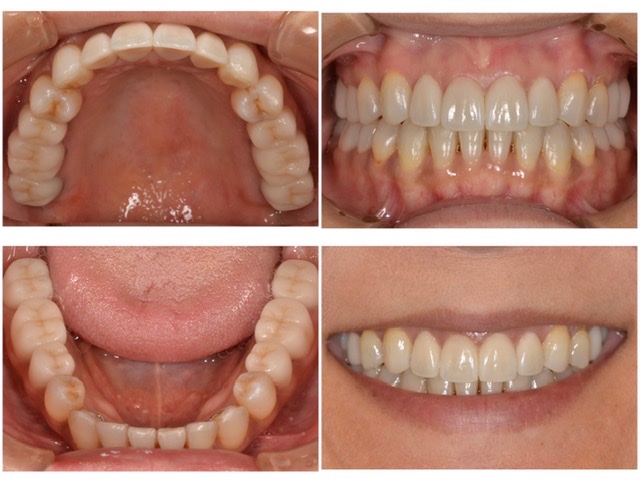
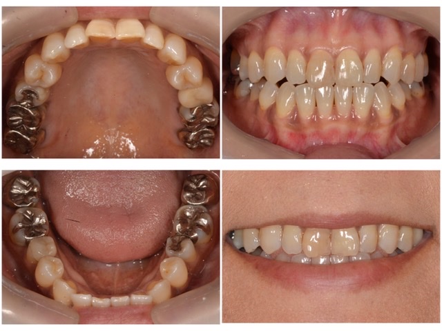
こちらの患者様は、歯並びのご相談と、歯を若返らせたいとの事で当院にいらっしゃいました。歯並びについてはマウスピース矯正を行い、上顎の前歯4本はセラミック治療、またホワイトニングを併用して歯を白く若返らせる事ができました。
また奥歯の銀歯は適合が悪く二次虫歯の可能性がございましたので、綺麗に形成を行った後セラミックで被せました。

当院のホワイトニングには、3つのプランがこざいます🧚🏻‍♀️

①オフィスホワイトニング
こちらは、とにかく早く白くしたい方におすすめです。歯科医院にて施術を行い、即日で効果を実感していただけるプランです。

②ホームホワイトニング
こちらは、忙しくて通院が難しい方におすすめです。ご自宅にて専用のジェルとマウスピースでホワイトニングを行っていただく方法です。

③オフィスとホームの併用
こちらは早く白くして、持続させたい方におすすめです。最初にオフィスホワイトニングで歯を白くして、ホームホワイトニングで白さを持続させる方法です。

患者様のご希望に合わせてプランをご提案させていただきますので、ご安心ください🦷✨

担当:太田