院内ブログBlog
院内ブログBlog
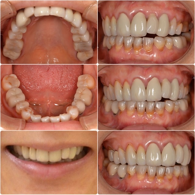
主訴・術前
隙間が気になる

術後の患者様の感想
気になっていた隙間も治り人前に出るのが多い仕事なので全体的に綺麗になったので良かったです。
海外に住んでいるので日本に帰ってきたタイミングで治療をしていただいて気になるところは質問をすればしっかり返して下さるのでとても助かっています。
また、メールやお電話などもすぐに対応してくださるので困ったことがあればすぐにご連絡ができるのもとてもいいと思います。

治療情報
| 主訴 | 隙間が気になる |
| 診断名 | 審美障害 |
| 年齢 | 50代女性 |
| 治療方法 | セラミック治療 歯周治療 |
| 抜歯部位 | 非抜歯 |
| 治療期間 | 1年 |
| 治療費 | セラミック治療 20万円/1本 歯周治療 23万円 (税別) |
| リスク 副作用 | 治療終了後のメンテナンス不足による歯周病 歯ぎしりや過剰な噛み締めによるセラミックの破損 |