院内ブログBlog

2024.04.26
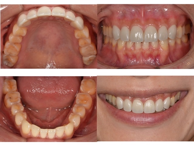
全体的に見て欲しい30代女性2024.4.26

お知らせ

主訴・術前

全体的に診てほしい

術後の患者様の感想

自分の気になるところを治すために様々な処置をしていただきましたが、それぞれが早く処置してくださったのでとても助かりました。

少し待ち時間ができるとスタッフの方と歯科の知識についてやプライベートのお話まですることができたので快適な時間を過ごすことができました。

今後もメンテナンスなど通っていけるように頑張ります。

治療情報

主訴全体的に診てほしい
診断名審美障害
年齢30代女性
治療方法前歯部部分矯正インプラント治療セラミック治療歯周治療
抜歯部位非抜歯
治療期間3年
治療費前歯部部分矯正 60万円インプラント治療 50万円/1本セラミック治療 20万円/1本歯周治療 23万円  (全て税別)
リスク
副作用
      
リテーナー不使用による矯正治療の後戻り歯ぎしりや過剰な噛み締めによるセラミックの破損