院内ブログBlog
院内ブログBlog
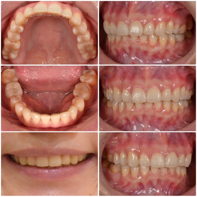
主訴・術前
染みるところがあるため見てほしい。
歯並びを改善し、悪い所はすべて治したい。

診断の結果
先天的に一本歯が足りないためワイヤーにて歯列矯正を行いました。
抜歯・インプラント治療はご希望ではなかったので噛み合わせ等の診断を何度も行い噛み合わせが不安定にならないように治療を行いました。
また、むし歯も何本かあった為セラミックにて治療を行いました。
歯周治療・ホワイトニングもご希望だった為矯正治療を開始する前に歯周治療を行いホワイトニングは矯正治療終了後に行うなど計画的に治療を進め患者様が気になっているところを改善してまいりました。
術後の患者様の感想
気になっていたところが治っていったのでとても嬉しく思います。
少しの質問や疑問も親身になって聞いた下さったのですぐに質問することができました。
治療の順番や流れなどしっかりと説明していただきわからないところはすぐに教えていただけたので良かったです。

治療情報
| 主訴 | 歯並びを改善し悪い所はすべて治したい |
| 診断名 | 叢生 |
| 年齢 | 20代女性 |
| 治療方法 | ワイヤー矯正治療 セラミック治療 |
| 抜歯部位 | 非抜歯 |
| 治療期間 | 2年 |
| 治療費 | ワイヤー矯正治療 125万円 セラミック治療 20万円/1本 歯周治療 23万円 ホワイトニング 6万円 |
| リスク 副作用 | リテーナーの不使用による矯正治療の後戻り |