院内ブログBlog
院内ブログBlog
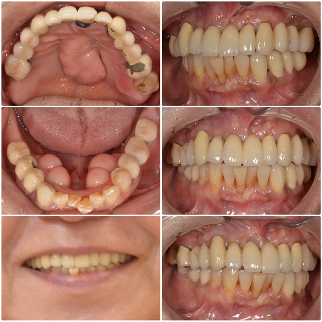
主訴・術前
全体的に治したい

術後の患者様の感想
元の自分の歯が思い出せないくらい綺麗になってびっくりしました。
スケジュール調整もしっかりしていただいてとても通いやすかったです。
家から距離はあるのですが何かあったときのために自宅近くの病院を探してくれたりと至れり尽くせりでした。
スタッフの方もたくさんのことを教えてくださったので今後も生かせるように頑張りたいです。

治療情報
| 主訴 | 全体的に治したい |
| 診断名 | 審美障害 |
| 年齢 | 60代 |
| 治療方法 | インプラント治療 セラミック治療 歯周治療 |
| 抜歯部位 | 右上1367 左上236右下157 左下1 |
| 治療期間 | 1年 |
| 治療費 | インプラント治療 50万/1本 セラミック治療 20万/1本 歯周治療 23万 (税別) |
| リスク 副作用 | 治療終了後のメンテナンス不足による歯周病歯ぎしりや過剰な噛み締めによるセラミックの破損 |