院内ブログBlog
院内ブログBlog
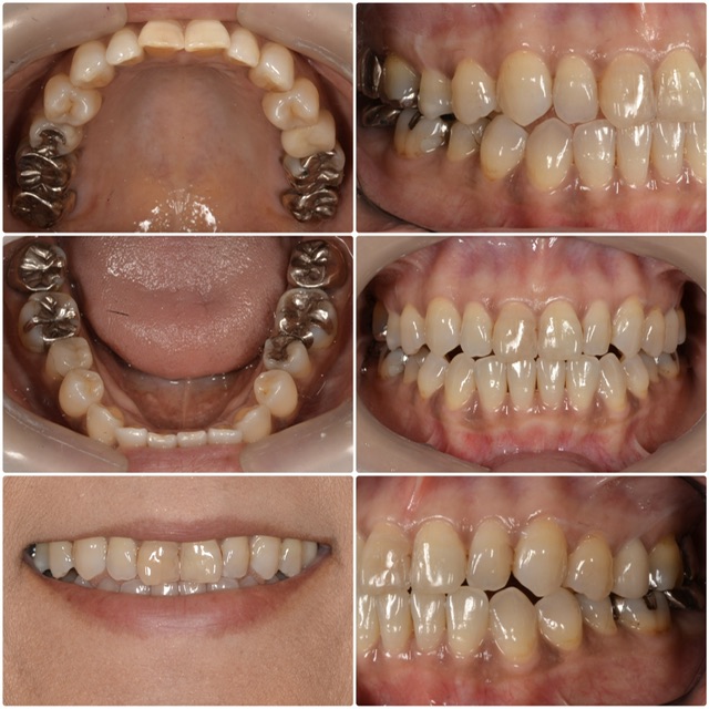
主訴・術前
前歯部の歯並びが気になる

術後の患者様の感想
マウスピース矯正やセラミック矯正を行って自分の納得のいく歯並びになることができたので良かったです。
マウスピースに関しては、続けられるか不安でしたが続けることができ、定期的に診ていただけるので装着の仕方や装着時間などの相談などができたので良かったです。
今後も引き続きメンテナンスの方でお世話になれたらと思います。

治療情報
| 主訴 | 前歯部の歯並びが気になる |
| 診断名 | 叢生 |
| 年齢 | 50代女性 |
| 治療方法 | マウスピース矯正 セラミック治療 歯周治療 |
| 抜歯部位 | 非抜歯 |
| 治療期間 | 4年 |
| 治療費 | マウスピース矯正 125万円 セラミック治療 20万円/1本 歯周治療 23万円 (全て税別) |
| リスク 副作用 | リテーナー不使用による矯正治療の後戻り歯ぎしりや過剰な噛み締めによるセラミックの破損 |