院内ブログBlog
院内ブログBlog
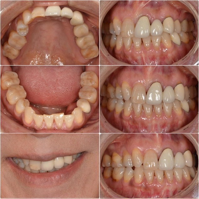
主訴・術前
セラミック希望、口元が内側に入って気になる。

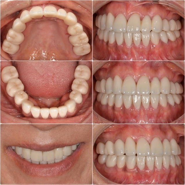
術後の患者様の感想
とても綺麗なセラミックを入れていただき、感謝しています。先生をはじめとしたスタッフの方々皆さんの対応が心地よく、いつも快適に通うことができます。
こちらの要望も毎回快く受け入れてくださって、本当に有難うございました。

治療情報
| 主訴 | セラミック希望 |
| 診断名 | 審美障害 |
| 年齢 | 50代女性 |
| 治療方法 | セラミック治療歯周治療 |
| 抜歯部位 | 左上2,4 右上4左下4 右下4 |
| 治療期間 | 二か月 |
| 治療費 | セラミック20万円/1本歯周治療23万円 (全て税別) |
| リスク 副作用 | 治療終了後のメンテナンス不足による歯周病歯ぎしりや過剰な噛み締めによるセラミックの破損 |