院内ブログBlog
院内ブログBlog
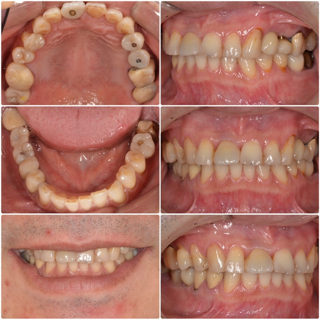
主訴・術前
他院で治療途中の箇所を治したい

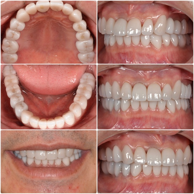
術後の患者様の感想
他院で治療途中になってしまった箇所をこちらのクリニックで綺麗に治していただき、大変満足しています。全顎的な治療にも関わらず短期間で治療が終了したので、良かったです。

治療情報
| 主訴 | 他院で治療途中の箇所を治したい |
| 診断名 | 審美障害 |
| 年齢 | 40代男性 |
| 治療方法 | セラミック治療 歯周治療 |
| 抜歯部位 | 非抜歯 |
| 治療期間 | 8か月 |
| 治療費 | セラミック20万円/1本 歯周治療23万円 (全て税別) |
| リスク 副作用 | 治療終了後のメンテナンス不足による歯周病 歯ぎしりや過剰な噛み締めによるセラミックの破損 |