院内ブログBlog

2024.11.06
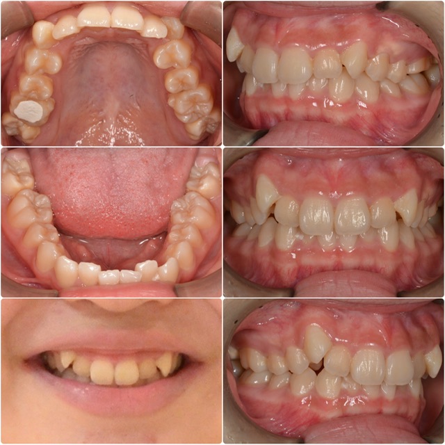
噛み合わせが悪い 10代女性 2024.11.6

お知らせ

主訴・術前

噛み合わせが悪い

術後の患者様の感想

歯並びが綺麗になってとても嬉しく思います。

噛み合わせも気になっていましたがきちんとした噛み合わせになり食事も楽になりました。

歯の神経の治療も一緒に行っていただきましたが痛みも少なく悪い所はしっかり治していただけたので良かったです。

また、時間帯も融通を聞かせていただけたのでとても助かりました。

治療情報

主訴噛み合わせが悪い
診断名叢生
年齢10代女性
治療方法ワイヤー矯正
抜歯部位非抜歯
治療期間1年6ヵ月
治療費ワイヤー矯正 125万円
リスク
副作用
      
リテーナー不使用による矯正治療の後戻り