院内ブログBlog
院内ブログBlog
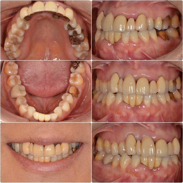
主訴・術前
不揃いな前歯を治したい。

術後の患者様の感想
笑った時に見える歯が細く小さいのがコンプレックスでしたが、矯正治療を行わずにバランスの取れた憧れの白い歯になり感動しました。
また院長先生がとても丁寧で優しく接してくださったので、安心して通うことができました。

治療情報
| 主訴 | 不揃いな前歯を治したい |
| 診断名 | 審美障害 |
| 年齢 | 50代女性 |
| 治療方法 | セラミック治療歯周治療 |
| 抜歯部位 | 左上2(残根) |
| 治療期間 | 2か月 |
| 治療費 | セラミック20万円/1本歯周治療23万円 (全て税別) |
| リスク 副作用 | 治療終了後のメンテナンス不足による歯周病歯ぎしりや過剰な噛み締めによるセラミックの破損 |